JavaScript is disabled in your browser. Please enable JavaScript to view this website.

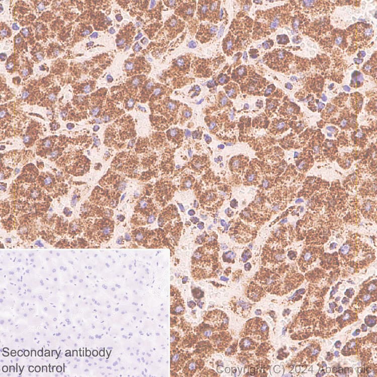
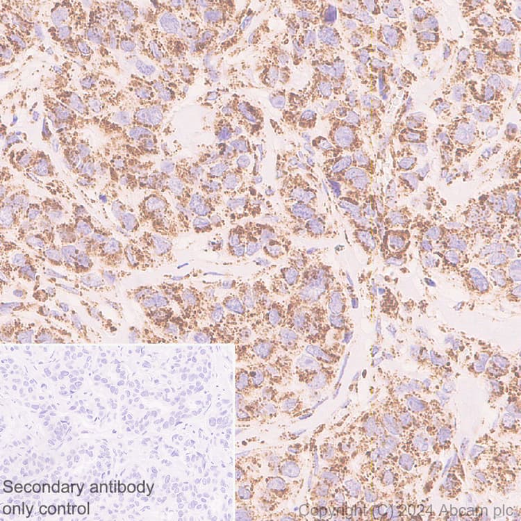
Anti-Total OXPHOS Antibody Cocktail antibody [RM1134](ab317270)

$undefined

Anti-Total OXPHOS Antibody Cocktail antibody [RM1134](ab317270)

Anti-Total OXPHOS Antibody Cocktail antibody [RM1134](ab317270)

Anti-Total OXPHOS Antibody Cocktail antibody [RM1134](ab317270)

Anti-Total OXPHOS Antibody Cocktail antibody [RM1134](ab317270)

Anti-Total OXPHOS Antibody Cocktail antibody [RM1134](ab317270)

Anti-Total OXPHOS Antibody Cocktail antibody [RM1134](ab317270)

Anti-Total OXPHOS Antibody Cocktail antibody [RM1134](ab317270)

Rabbit Recombinant Multiclonal NDUFB8 antibody. Suitable for ICC/IF, Flow Cyt (Intra), WB, IHC-P and reacts with Human samples.
Specifications
Shipped At Conditions Blue Ice
Appropriate Long term Storage Conditions Store at -20°C.
Clonality Multiclonal
Applications Flow Cyt (Intra), ICC/IF, IHC-P, IP, WB
Species Reactivity Human, Mouse, Rat
Isotype IgG