JavaScript is disabled in your browser. Please enable JavaScript to view this website.

Anti-MNDA antibody [EPR28267-44] - BSA and Azide free(AB316968)

$undefined

Anti-MNDA antibody [EPR28267-44] - BSA and Azide free(AB316968)

Anti-MNDA antibody [EPR28267-44] - BSA and Azide free(AB316968)

Anti-MNDA antibody [EPR28267-44] - BSA and Azide free(AB316968)

Anti-MNDA antibody [EPR28267-44] - BSA and Azide free(AB316968)

Anti-MNDA antibody [EPR28267-44] - BSA and Azide free(AB316968)

Anti-MNDA antibody [EPR28267-44] - BSA and Azide free(AB316968)

Anti-MNDA antibody [EPR28267-44] - BSA and Azide free(AB316968)

Anti-MNDA antibody [EPR28267-44] - BSA and Azide free(AB316968)

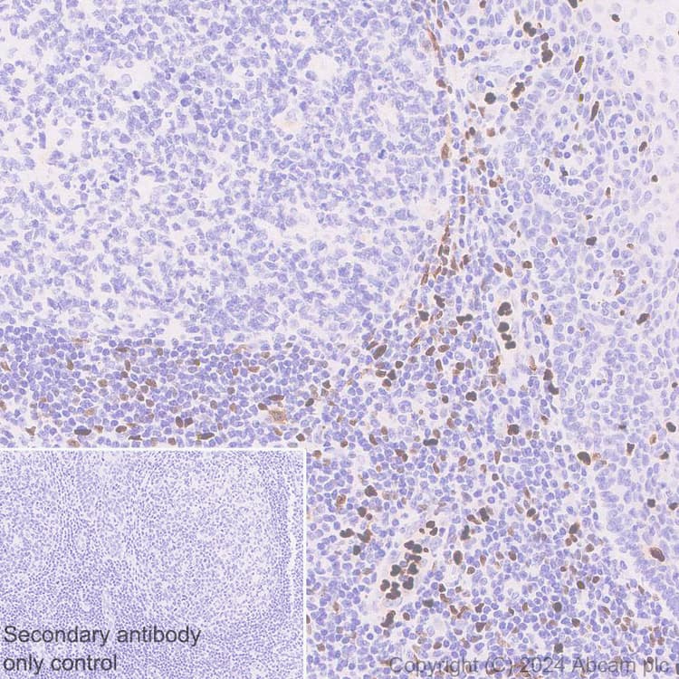
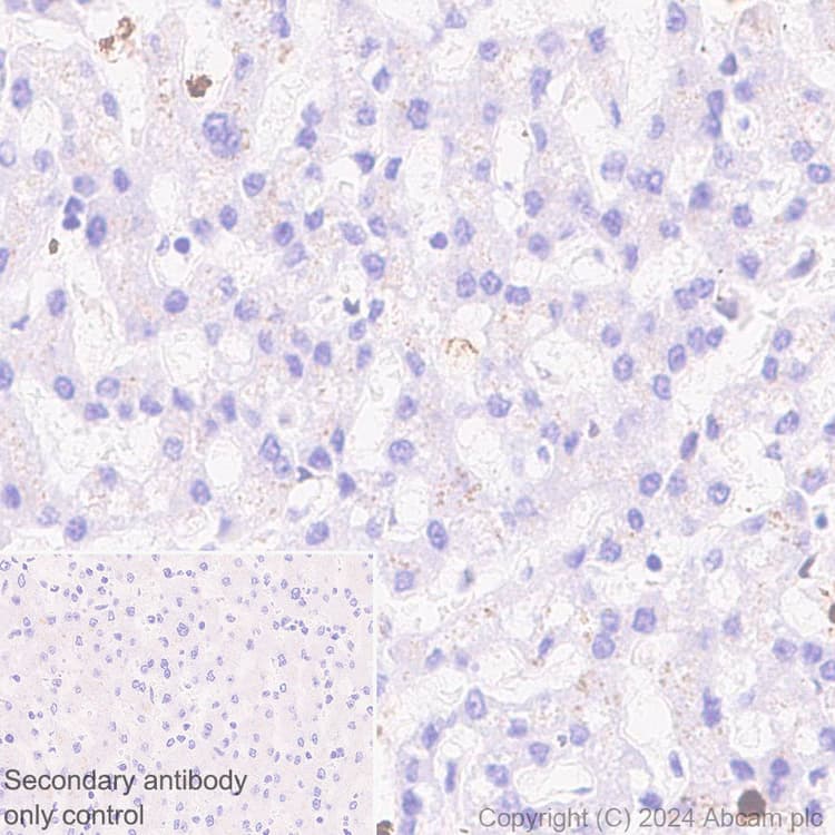
Rabbit Recombinant Monoclonal MNDA antibody. Carrier free. Suitable for IHC-P, WB, Flow Cyt (Intra), ICC/IF and reacts with Human samples.
Specifications
Shipped At Conditions Blue Ice
Appropriate Long term Storage Conditions Store at +4°C.
Clonality Monoclonal
Applications Flow Cyt (Intra), ICC/IF, IHC-P, IP, WB
Species Reactivity Human, Mouse, Rat
Isotype IgG