JavaScript is disabled in your browser. Please enable JavaScript to view this website.

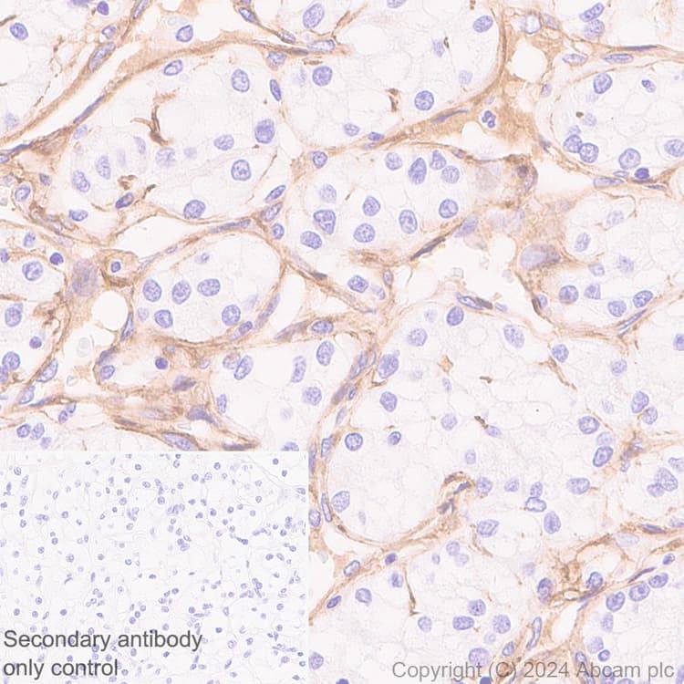
Anti-Agrin antibody [EPR28043-55](ab316754)

$undefined

Anti-Agrin antibody [EPR28043-55](ab316754)

Anti-Agrin antibody [EPR28043-55](ab316754)

Anti-Agrin antibody [EPR28043-55](ab316754)

Anti-Agrin antibody [EPR28043-55](ab316754)

Anti-Agrin antibody [EPR28043-55](ab316754)

Anti-Agrin antibody [EPR28043-55](ab316754)

Anti-Agrin antibody [EPR28043-55](ab316754)

Anti-Agrin antibody [EPR28043-55](ab316754)

Rabbit Recombinant Monoclonal AGRIN antibody. Suitable for WB, IHC-P and reacts with Human samples.
Specifications
Shipped At Conditions Blue Ice
Appropriate Long term Storage Conditions Store at -20°C.
Clonality Monoclonal
Applications Flow Cyt, ICC/IF, IHC-P, IP, WB
Species Reactivity Human, Mouse, Rat
Isotype IgG