JavaScript is disabled in your browser. Please enable JavaScript to view this website.

Anti-VGLUT3 antibody [EPR28534-165](ab316322)

$undefined

Anti-VGLUT3 antibody [EPR28534-165](ab316322)

Anti-VGLUT3 antibody [EPR28534-165](ab316322)

Anti-VGLUT3 antibody [EPR28534-165](ab316322)

Anti-VGLUT3 antibody [EPR28534-165](ab316322)

Anti-VGLUT3 antibody [EPR28534-165](ab316322)

Anti-VGLUT3 antibody [EPR28534-165](ab316322)

Anti-VGLUT3 antibody [EPR28534-165](ab316322)

Anti-VGLUT3 antibody [EPR28534-165](ab316322)

Anti-VGLUT3 antibody [EPR28534-165](ab316322)

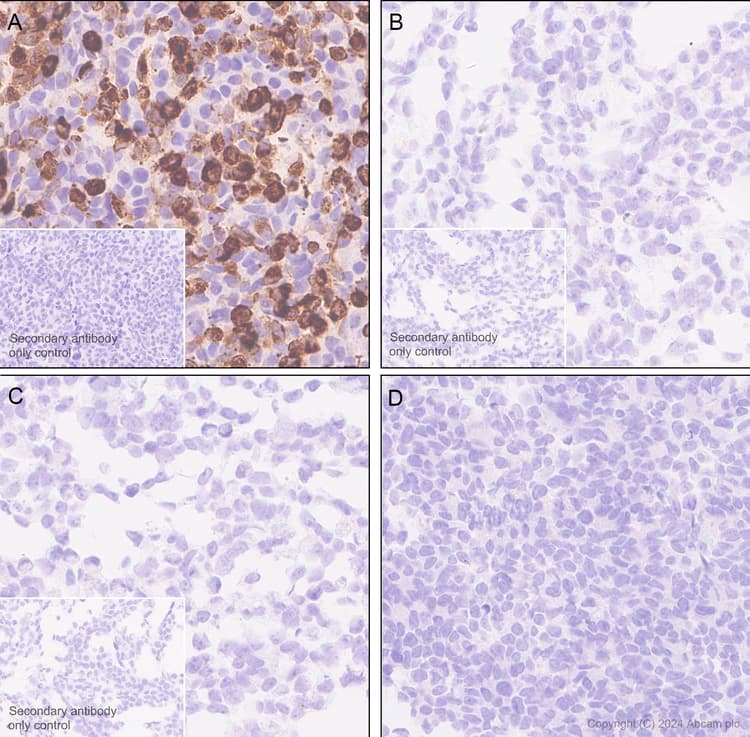
Rabbit Recombinant Monoclonal VGLUT3 antibody. Suitable for IHC-P, ICC/IF, IHC-Fr and reacts with Transfected cell line - Mouse, Mouse samples.
Specifications
Shipped At Conditions Blue Ice
Appropriate Long term Storage Conditions Store at -20°C.
Clonality Monoclonal
Applications Flow Cyt, ICC/IF, IHC-Fr, IHC-P, IP, WB
Species Reactivity Human, Mouse, Rat
Isotype IgG