JavaScript is disabled in your browser. Please enable JavaScript to view this website.

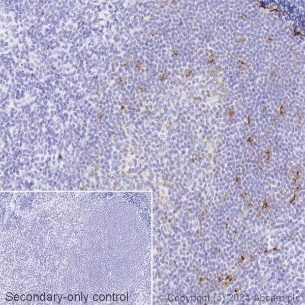
Biotin Anti-CXCL13 antibody [EPR23400-92](ab316303)

$undefined

Biotin Anti-CXCL13 antibody [EPR23400-92](ab316303)

Rabbit Recombinant Monoclonal BCA1 antibody - conjugated to Biotin. Suitable for IHC-P and reacts with Human samples.
Specifications
Shipped At Conditions Blue Ice
Appropriate Long term Storage Conditions Store at -20°C.
Clonality Monoclonal
Applications IHC-P
Species Reactivity Human
Isotype IgG
Conjugation Biotin