JavaScript is disabled in your browser. Please enable JavaScript to view this website.

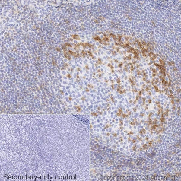
Biotin Anti-CD69 antibody [EPR21814](ab316301)

$undefined

Biotin Anti-CD69 antibody [EPR21814](ab316301)

Biotin Anti-CD69 antibody [EPR21814](ab316301)

Rabbit Recombinant Monoclonal CD69 antibody - conjugated to Biotin. Suitable for IHC-P and reacts with Human samples.
Specifications
Shipped At Conditions Blue Ice
Appropriate Long term Storage Conditions Store at -20°C.
Clonality Monoclonal
Applications IHC-P
Species Reactivity Human
Isotype IgG
Conjugation Biotin