JavaScript is disabled in your browser. Please enable JavaScript to view this website.

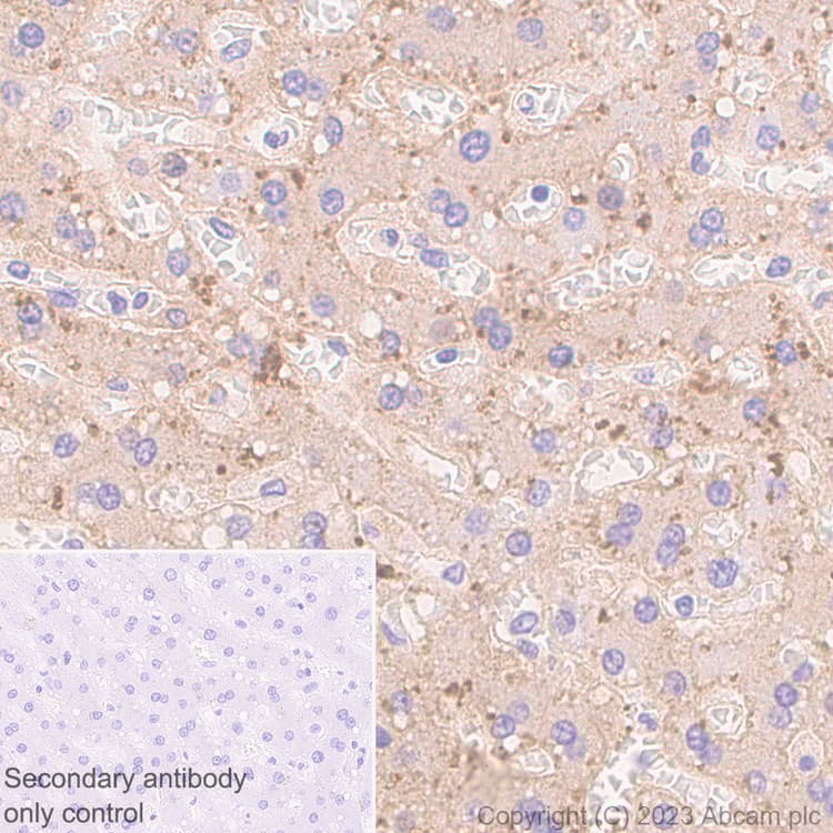
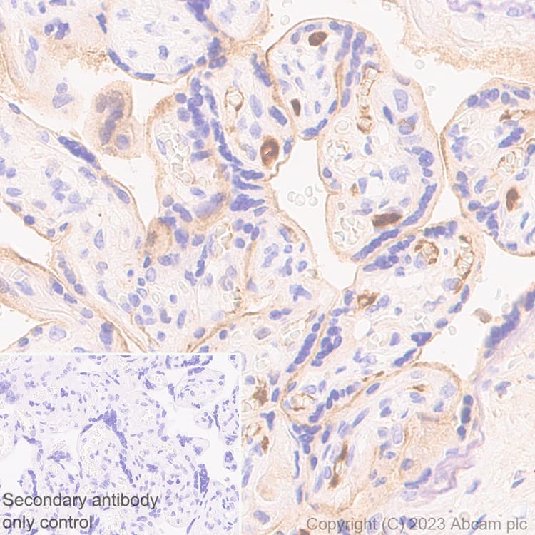
Anti-Transferrin antibody [RM1092](ab316295)

$undefined

Anti-Transferrin antibody [RM1092](ab316295)

Anti-Transferrin antibody [RM1092](ab316295)

Anti-Transferrin antibody [RM1092](ab316295)

Anti-Transferrin antibody [RM1092](ab316295)

Anti-Transferrin antibody [RM1092](ab316295)

Anti-Transferrin antibody [RM1092](ab316295)

Anti-Transferrin antibody [RM1092](ab316295)

Rabbit Recombinant Multiclonal Transferrin antibody. Suitable for WB, IHC-P, Flow Cyt (Intra), IP, ICC/IF and reacts with Human samples.
Specifications
Shipped At Conditions Blue Ice
Appropriate Long term Storage Conditions Store at -20°C.
Clonality Multiclonal
Applications Flow Cyt (Intra), ICC/IF, IHC-P, IP, WB
Species Reactivity Human, Mouse, Rat
Isotype IgG