JavaScript is disabled in your browser. Please enable JavaScript to view this website.

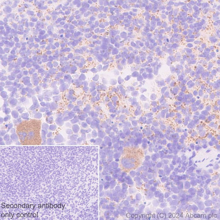
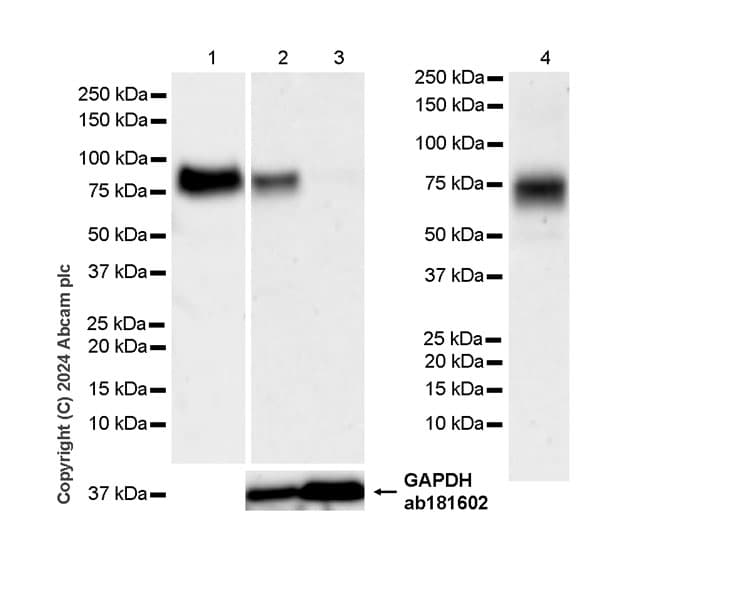
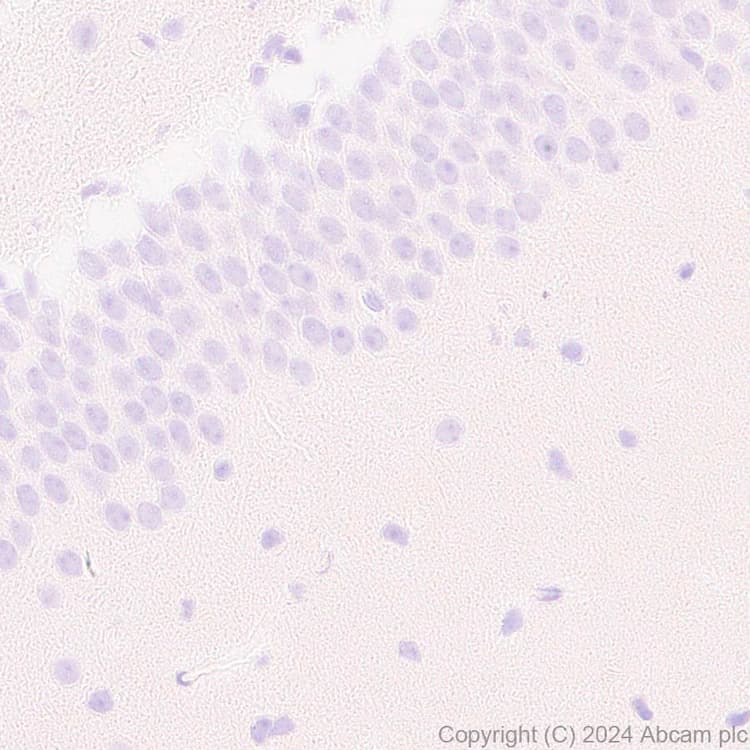
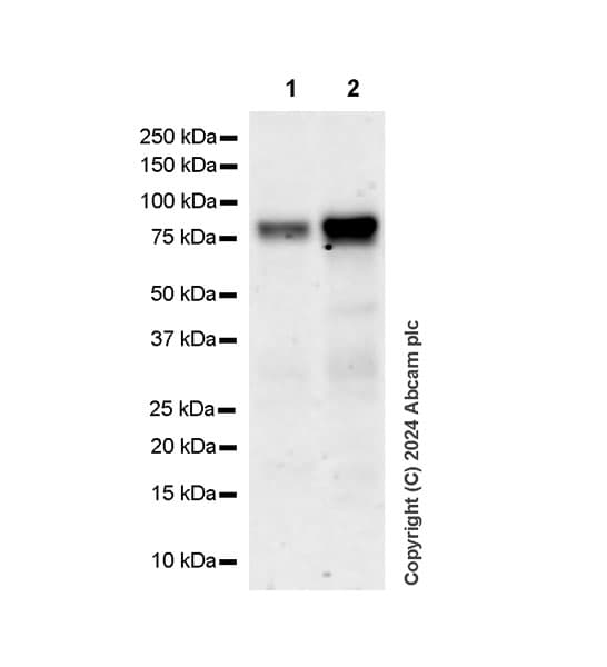
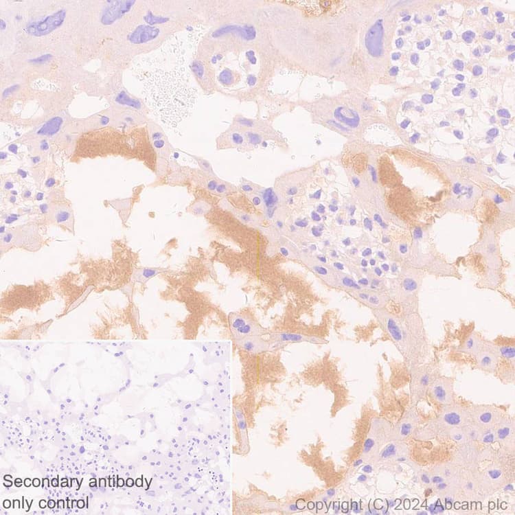
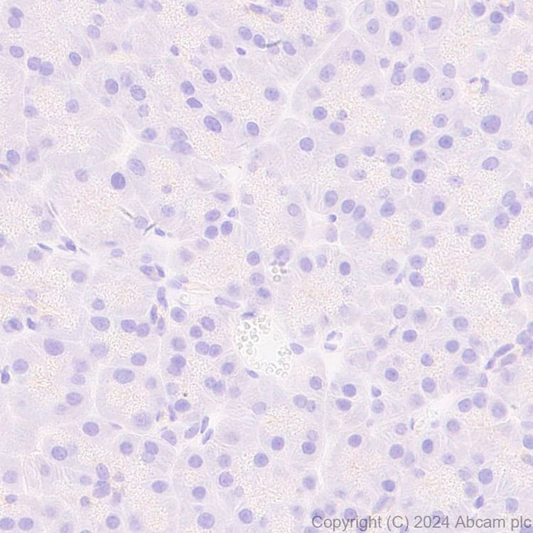
Anti-Protein S antibody [EPR28196-36](ab316281)

$undefined

Anti-Protein S antibody [EPR28196-36](ab316281)

Anti-Protein S antibody [EPR28196-36](ab316281)

Anti-Protein S antibody [EPR28196-36](ab316281)

Anti-Protein S antibody [EPR28196-36](ab316281)

Anti-Protein S antibody [EPR28196-36](ab316281)

Anti-Protein S antibody [EPR28196-36](ab316281)

Anti-Protein S antibody [EPR28196-36](ab316281)

Rabbit Recombinant Monoclonal Protein S antibody. Suitable for IHC-P, WB and reacts with Mouse samples.
Specifications
Shipped At Conditions Blue Ice
Appropriate Long term Storage Conditions Store at -20°C.
Clonality Monoclonal
Applications Flow Cyt (Intra), ICC/IF, IHC-P, IP, WB
Species Reactivity Human, Mouse, Rat
Isotype IgG