JavaScript is disabled in your browser. Please enable JavaScript to view this website.

Anti-WNK1 antibody [EPR28125-60] - BSA and Azide free(ab316280)

$undefined

Anti-WNK1 antibody [EPR28125-60] - BSA and Azide free(ab316280)

Anti-WNK1 antibody [EPR28125-60] - BSA and Azide free(ab316280)

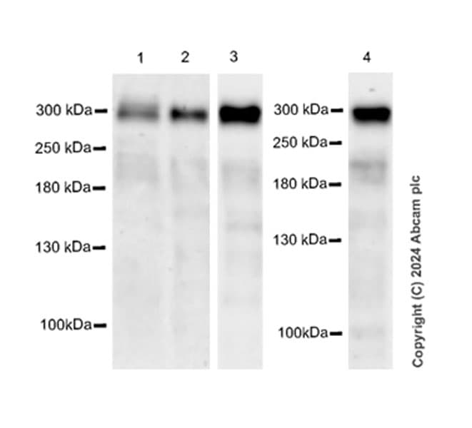
Knockout Tested Rabbit Recombinant Monoclonal WNK1 antibody. Carrier free. Suitable for WB and reacts with Human, Mouse, Rat samples.
Specifications
Shipped At Conditions Blue Ice
Appropriate Long term Storage Conditions Store at +4°C.
Clonality Monoclonal
Applications Flow Cyt (Intra), ICC/IF, IHC-P, IP, WB
Species Reactivity Human, Mouse, Rat
Isotype IgG