JavaScript is disabled in your browser. Please enable JavaScript to view this website.

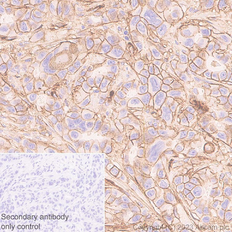
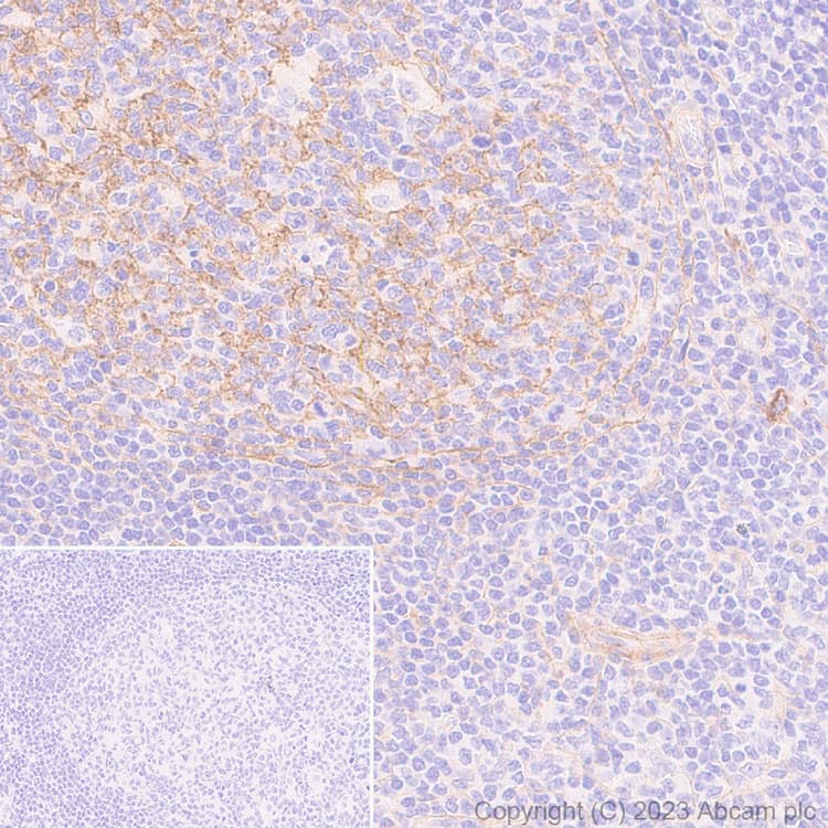
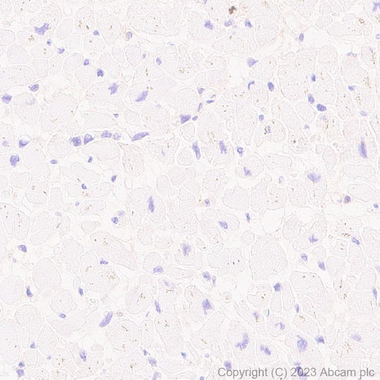
Anti-CD276 antibody [RM2041](ab315907)

$undefined

Anti-CD276 antibody [RM2041](ab315907)

Anti-CD276 antibody [RM2041](ab315907)

Anti-CD276 antibody [RM2041](ab315907)

Anti-CD276 antibody [RM2041](ab315907)

Anti-CD276 antibody [RM2041](ab315907)

Anti-CD276 antibody [RM2041](ab315907)

Anti-CD276 antibody [RM2041](ab315907)

Anti-CD276 antibody [RM2041](ab315907)

Anti-CD276 antibody [RM2041](ab315907)

Anti-CD276 antibody [RM2041](ab315907)

Knockout Tested Rabbit Recombinant Multiclonal CD276 antibody. Suitable for WB, IP, ICC/IF, Flow Cyt, IHC-P and reacts with Human samples.
Specifications
Shipped At Conditions Blue Ice
Appropriate Long term Storage Conditions Store at -20°C.
Clonality Multiclonal
Applications Flow Cyt, ICC/IF, IHC-Fr, IHC-P, IP, WB
Species Reactivity Human, Mouse, Rat
Isotype IgG