JavaScript is disabled in your browser. Please enable JavaScript to view this website.

Anti-Neutrophil Elastase antibody [EPR28386-175](ab315901)

$undefined

Anti-Neutrophil Elastase antibody [EPR28386-175](ab315901)

Anti-Neutrophil Elastase antibody [EPR28386-175](ab315901)

Anti-Neutrophil Elastase antibody [EPR28386-175](ab315901)

Anti-Neutrophil Elastase antibody [EPR28386-175](ab315901)

Anti-Neutrophil Elastase antibody [EPR28386-175](ab315901)

Anti-Neutrophil Elastase antibody [EPR28386-175](ab315901)

Anti-Neutrophil Elastase antibody [EPR28386-175](ab315901)

Anti-Neutrophil Elastase antibody [EPR28386-175](ab315901)

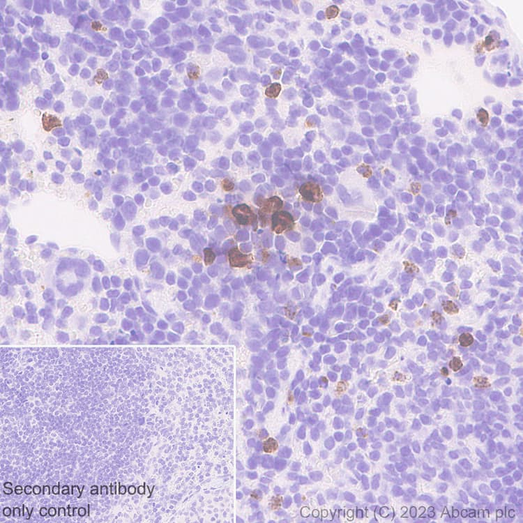
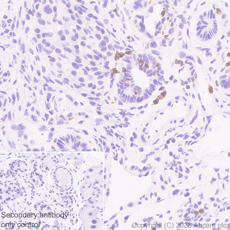
Rabbit Recombinant Monoclonal Neutrophil Elastase antibody. Suitable for ICC/IF, IHC-P, Flow Cyt (Intra) and reacts with Transfected cell line - Mouse, Mouse, Rat samples.
Specifications
Shipped At Conditions Blue Ice
Appropriate Long term Storage Conditions Store at -20°C.
Clonality Monoclonal
Applications Flow Cyt (Intra), ICC/IF, IHC-P, IP, WB
Species Reactivity Human, Mouse, Rat
Isotype IgG