JavaScript is disabled in your browser. Please enable JavaScript to view this website.

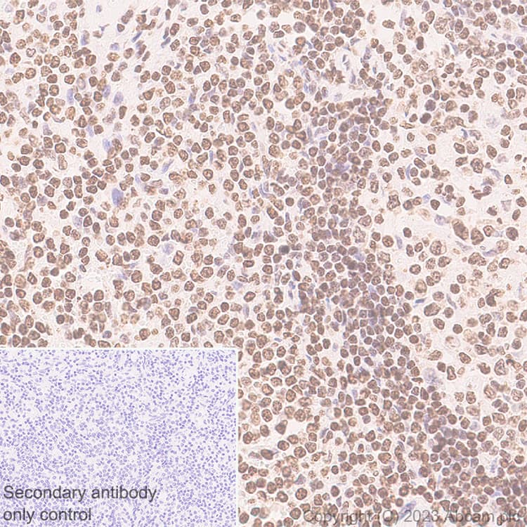
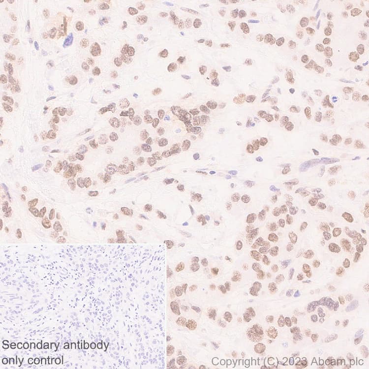
Anti-HMGN1 antibody [EPR27314-67](ab315889)

$undefined

Anti-HMGN1 antibody [EPR27314-67](ab315889)

Anti-HMGN1 antibody [EPR27314-67](ab315889)

Anti-HMGN1 antibody [EPR27314-67](ab315889)

Anti-HMGN1 antibody [EPR27314-67](ab315889)

Anti-HMGN1 antibody [EPR27314-67](ab315889)

Anti-HMGN1 antibody [EPR27314-67](ab315889)

Anti-HMGN1 antibody [EPR27314-67](ab315889)

Anti-HMGN1 antibody [EPR27314-67](ab315889)

Anti-HMGN1 antibody [EPR27314-67](ab315889)

Rabbit Recombinant Monoclonal HMGN1 antibody. Suitable for Flow Cyt (Intra), ICC/IF, IHC-P, WB and reacts with Human, Recombinant fragment - Human samples.
Specifications
Shipped At Conditions Blue Ice
Appropriate Long term Storage Conditions Store at -20°C.
Clonality Monoclonal
Applications Flow Cyt (Intra), ICC/IF, IHC-P, IP, WB
Species Reactivity Human, Mouse, Rat
Isotype IgG