JavaScript is disabled in your browser. Please enable JavaScript to view this website.

Anti-SPTLC1 antibody [EPR26226-221](ab315158)

$undefined

Anti-SPTLC1 antibody [EPR26226-221](ab315158)

Anti-SPTLC1 antibody [EPR26226-221](ab315158)

Anti-SPTLC1 antibody [EPR26226-221](ab315158)

Anti-SPTLC1 antibody [EPR26226-221](ab315158)

Anti-SPTLC1 antibody [EPR26226-221](ab315158)

Anti-SPTLC1 antibody [EPR26226-221](ab315158)

Anti-SPTLC1 antibody [EPR26226-221](ab315158)

Anti-SPTLC1 antibody [EPR26226-221](ab315158)

Anti-SPTLC1 antibody [EPR26226-221](ab315158)

Anti-SPTLC1 antibody [EPR26226-221](ab315158)

Anti-SPTLC1 antibody [EPR26226-221](ab315158)

Anti-SPTLC1 antibody [EPR26226-221](ab315158)

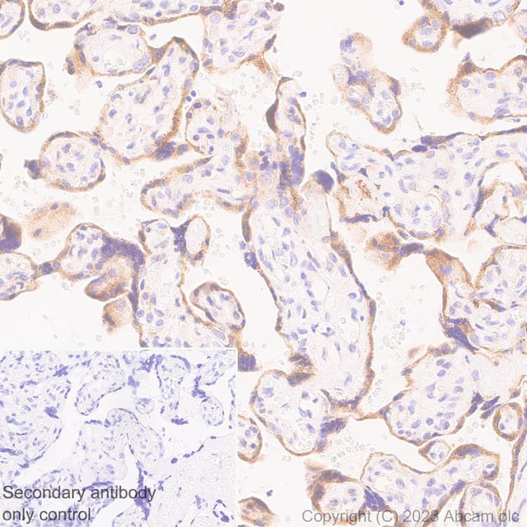
Rabbit Recombinant Monoclonal SPTLC1 antibody. Suitable for WB, IHC-P, IP, ICC/IF, Flow Cyt (Intra) and reacts with Human, Recombinant fragment - Human samples.
Specifications
Shipped At Conditions Blue Ice
Appropriate Long term Storage Conditions Store at -20°C.
Clonality Monoclonal
Applications Flow Cyt (Intra), ICC/IF, IHC-P, IP, WB
Species Reactivity Human, Mouse, Rat
Isotype IgG