JavaScript is disabled in your browser. Please enable JavaScript to view this website.

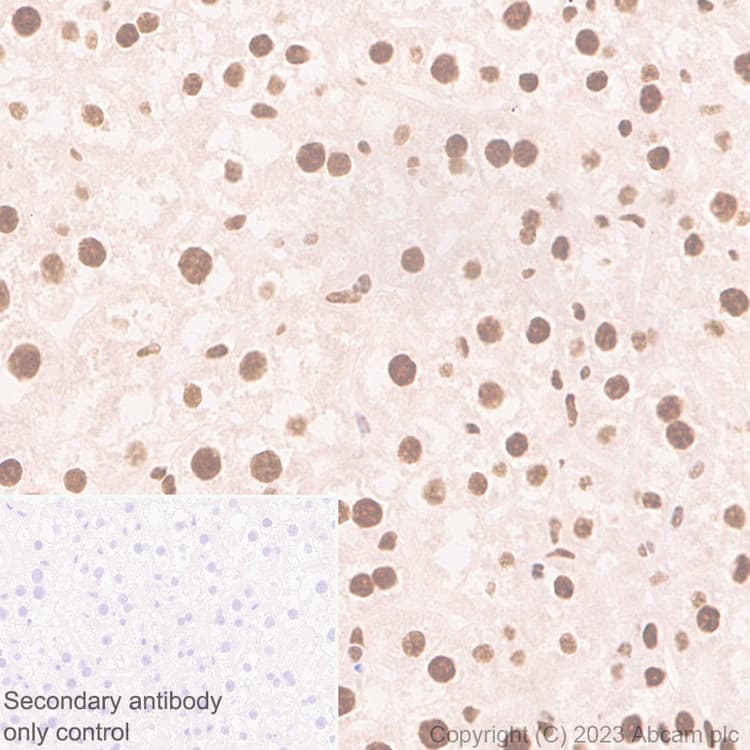
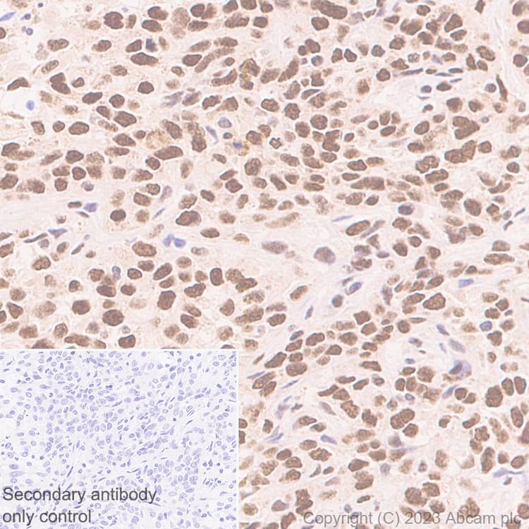
Anti-hnRNP K antibody [RM1055](ab315098)

$undefined

Anti-hnRNP K antibody [RM1055](ab315098)

Anti-hnRNP K antibody [RM1055](ab315098)

Anti-hnRNP K antibody [RM1055](ab315098)

Anti-hnRNP K antibody [RM1055](ab315098)

Anti-hnRNP K antibody [RM1055](ab315098)

Anti-hnRNP K antibody [RM1055](ab315098)

Anti-hnRNP K antibody [RM1055](ab315098)

Anti-hnRNP K antibody [RM1055](ab315098)

Anti-hnRNP K antibody [RM1055](ab315098)

Anti-hnRNP K antibody [RM1055](ab315098)

Anti-hnRNP K antibody [RM1055](ab315098)

Anti-hnRNP K antibody [RM1055](ab315098)

Anti-hnRNP K antibody [RM1055](ab315098)

Rabbit Recombinant Multiclonal hnRNP K antibody. Suitable for WB, IHC-P, IP, ICC/IF, Flow Cyt (Intra) and reacts with Human, Mouse, Rat samples.
Specifications
Shipped At Conditions Blue Ice
Appropriate Long term Storage Conditions Store at -20°C.
Clonality Multiclonal
Applications Flow Cyt (Intra), ICC/IF, IHC-P, IP, WB
Species Reactivity Human, Mouse, Rat
Isotype IgG