JavaScript is disabled in your browser. Please enable JavaScript to view this website.

Anti-CLEC10A antibody [EPR27400-166] - BSA and Azide free(ab315087)

$undefined

Anti-CLEC10A antibody [EPR27400-166] - BSA and Azide free(ab315087)

Anti-CLEC10A antibody [EPR27400-166] - BSA and Azide free(ab315087)

Anti-CLEC10A antibody [EPR27400-166] - BSA and Azide free(ab315087)

Anti-CLEC10A antibody [EPR27400-166] - BSA and Azide free(ab315087)

Anti-CLEC10A antibody [EPR27400-166] - BSA and Azide free(ab315087)

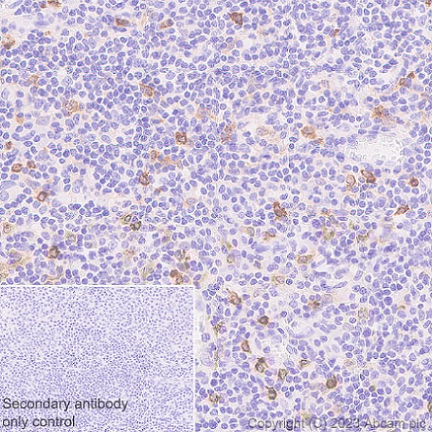
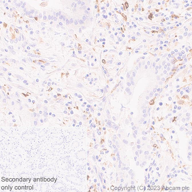
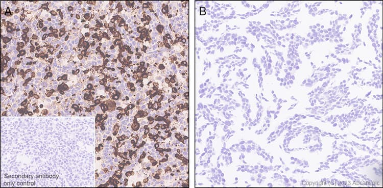
Rabbit Recombinant Monoclonal CLEC10A antibody. Carrier free. Suitable for IHC-P, mIHC and reacts with Human, Transfected cell line - Human samples.
Specifications
Shipped At Conditions Blue Ice
Appropriate Long term Storage Conditions Store at +4°C.
Clonality Monoclonal
Applications Flow Cyt, ICC/IF, IHC-P, IP, WB, mIHC
Species Reactivity Human, Mouse, Rat
Isotype IgG