JavaScript is disabled in your browser. Please enable JavaScript to view this website.

Anti-VAPB antibody [EPR27026-50](AB315013)

$undefined

Anti-VAPB antibody [EPR27026-50](AB315013)

Anti-VAPB antibody [EPR27026-50](AB315013)

Anti-VAPB antibody [EPR27026-50](AB315013)

Anti-VAPB antibody [EPR27026-50](AB315013)

Anti-VAPB antibody [EPR27026-50](AB315013)

Anti-VAPB antibody [EPR27026-50](AB315013)

Anti-VAPB antibody [EPR27026-50](AB315013)

Anti-VAPB antibody [EPR27026-50](AB315013)

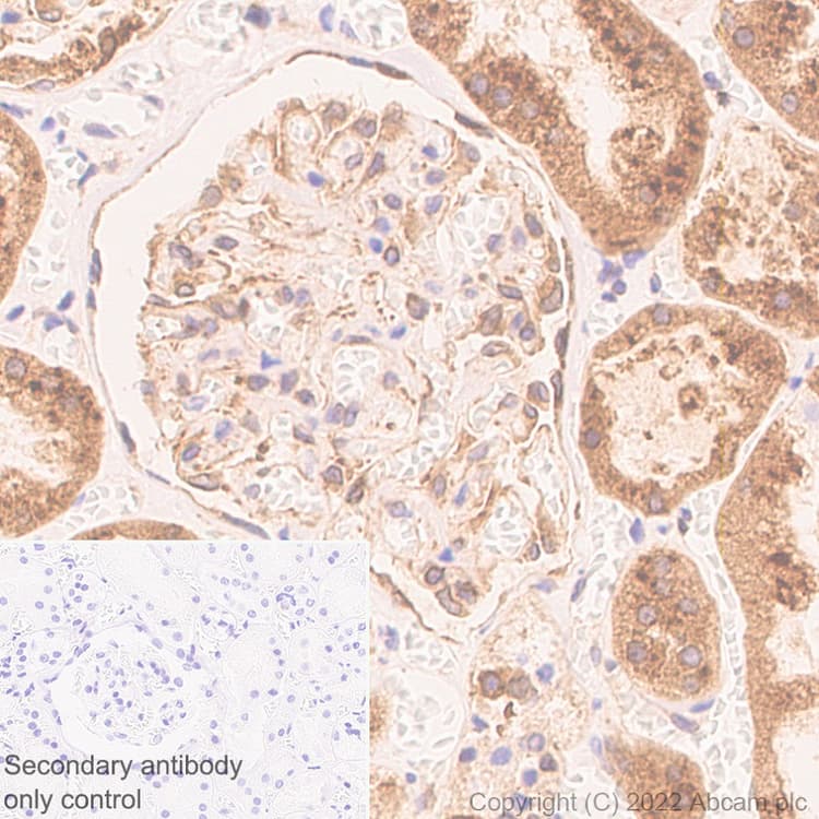
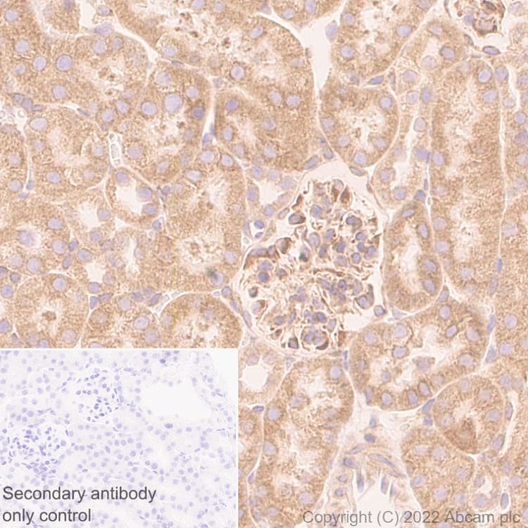
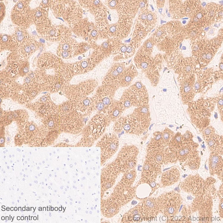
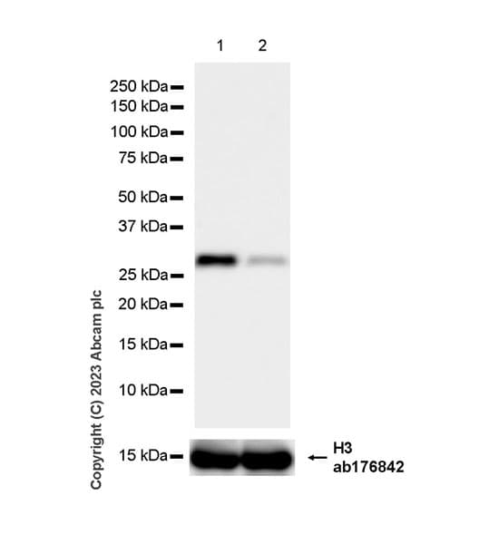
Rabbit Recombinant Monoclonal VAPB antibody. Suitable for IHC-P, WB, IP and reacts with Human, Mouse samples.
Specifications
Shipped At Conditions Blue Ice
Appropriate Long term Storage Conditions Store at -20°C.
Clonality Monoclonal
Applications Flow Cyt (Intra), ICC/IF, IHC-P, IP, WB
Species Reactivity Human, Mouse, Rat
Isotype IgG