JavaScript is disabled in your browser. Please enable JavaScript to view this website.

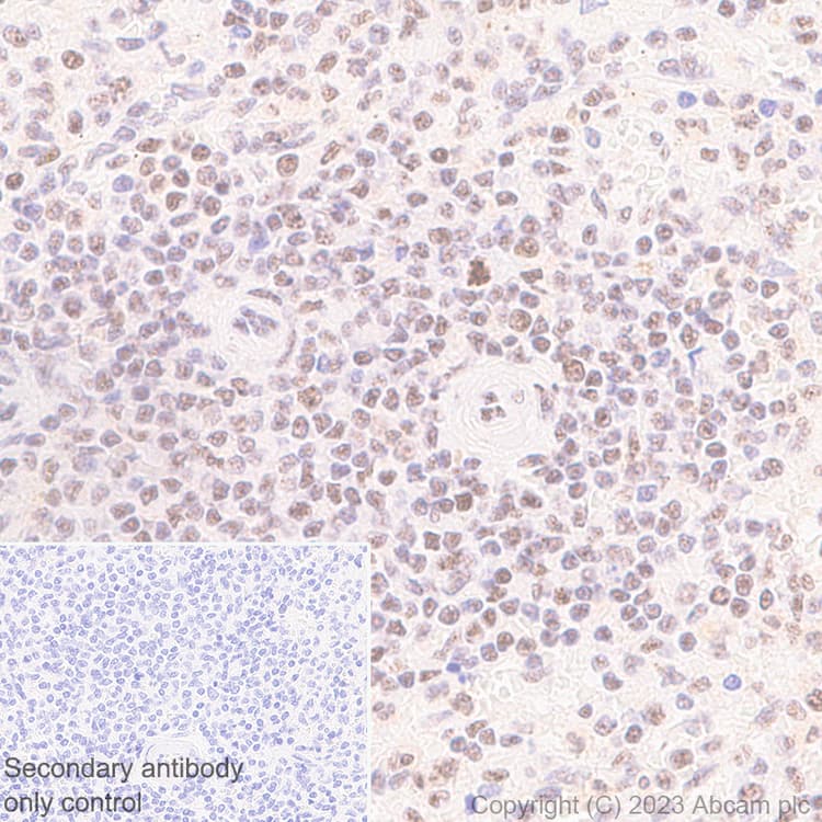
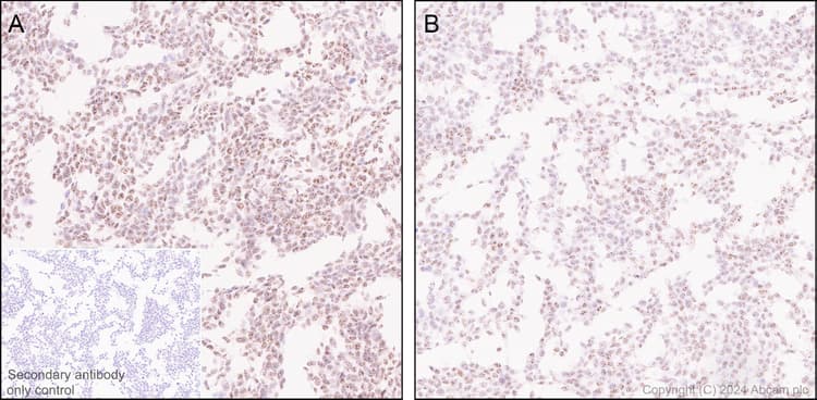
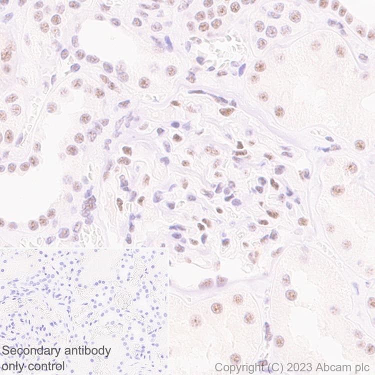
Anti-REST / NRSF antibody [EPR24988-29](AB315007)

$undefined

Anti-REST / NRSF antibody [EPR24988-29](AB315007)

Anti-REST / NRSF antibody [EPR24988-29](AB315007)

Anti-REST / NRSF antibody [EPR24988-29](AB315007)

Anti-REST / NRSF antibody [EPR24988-29](AB315007)

Rabbit Recombinant Monoclonal REST / NRSF antibody. Suitable for IHC-P and reacts with Human samples.
Specifications
Shipped At Conditions Blue Ice
Appropriate Long term Storage Conditions Store at -20°C.
Clonality Monoclonal
Applications Flow Cyt (Intra), ICC/IF, IHC-P, IP, WB
Species Reactivity Human, Mouse, Rat
Isotype IgG