JavaScript is disabled in your browser. Please enable JavaScript to view this website.

Anti-Nesprin 2 antibody [EPR28137-54](AB314872)

$undefined

Anti-Nesprin 2 antibody [EPR28137-54](AB314872)

Anti-Nesprin 2 antibody [EPR28137-54](AB314872)

Anti-Nesprin 2 antibody [EPR28137-54](AB314872)

Anti-Nesprin 2 antibody [EPR28137-54](AB314872)

Anti-Nesprin 2 antibody [EPR28137-54](AB314872)

Anti-Nesprin 2 antibody [EPR28137-54](AB314872)

Anti-Nesprin 2 antibody [EPR28137-54](AB314872)

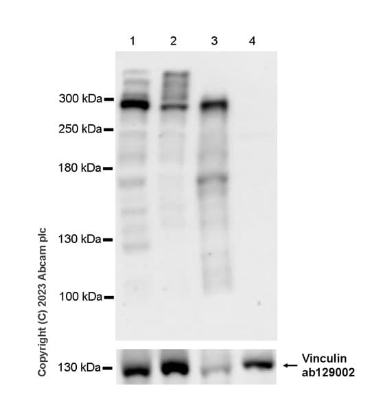
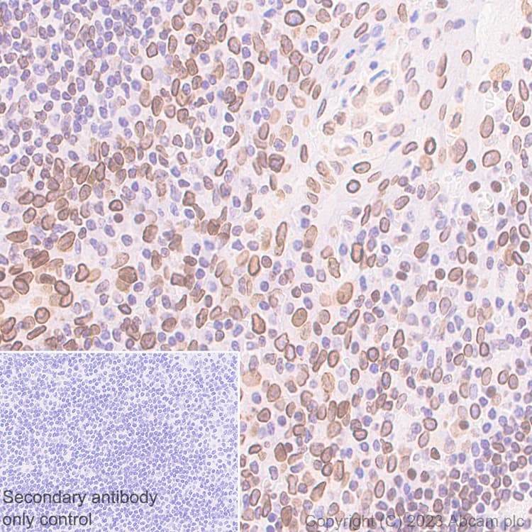
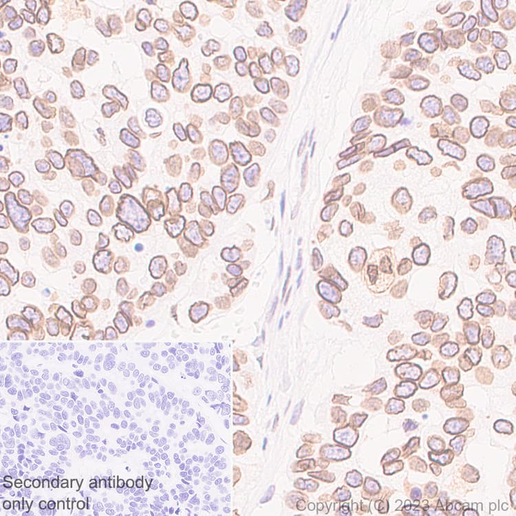
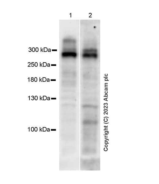
Knockout Tested Rabbit Recombinant Monoclonal Nesprin 2 antibody. Suitable for WB, IHC-P, ICC/IF and reacts with Human samples.
Specifications
Shipped At Conditions Blue Ice
Appropriate Long term Storage Conditions Store at -20°C.
Clonality Monoclonal
Applications Human, Mouse, Rat
Species Reactivity Flow Cyt (Intra), ICC/IF, IHC-P, IP, WB
Isotype IgG
Conjugation -
CAS Number -