JavaScript is disabled in your browser. Please enable JavaScript to view this website.

Anti-Fibrillin 1 antibody [EPR27362-76] - BSA and Azide free(ab314548)

$undefined

Anti-Fibrillin 1 antibody [EPR27362-76] - BSA and Azide free(ab314548)

Anti-Fibrillin 1 antibody [EPR27362-76] - BSA and Azide free(ab314548)

Anti-Fibrillin 1 antibody [EPR27362-76] - BSA and Azide free(ab314548)

Anti-Fibrillin 1 antibody [EPR27362-76] - BSA and Azide free(ab314548)

Anti-Fibrillin 1 antibody [EPR27362-76] - BSA and Azide free(ab314548)

Anti-Fibrillin 1 antibody [EPR27362-76] - BSA and Azide free(ab314548)

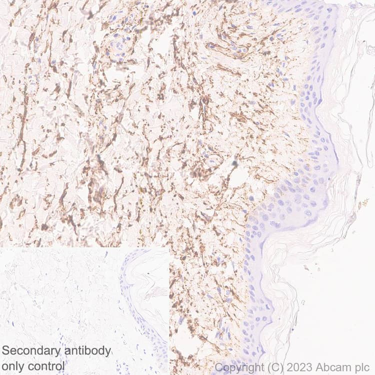
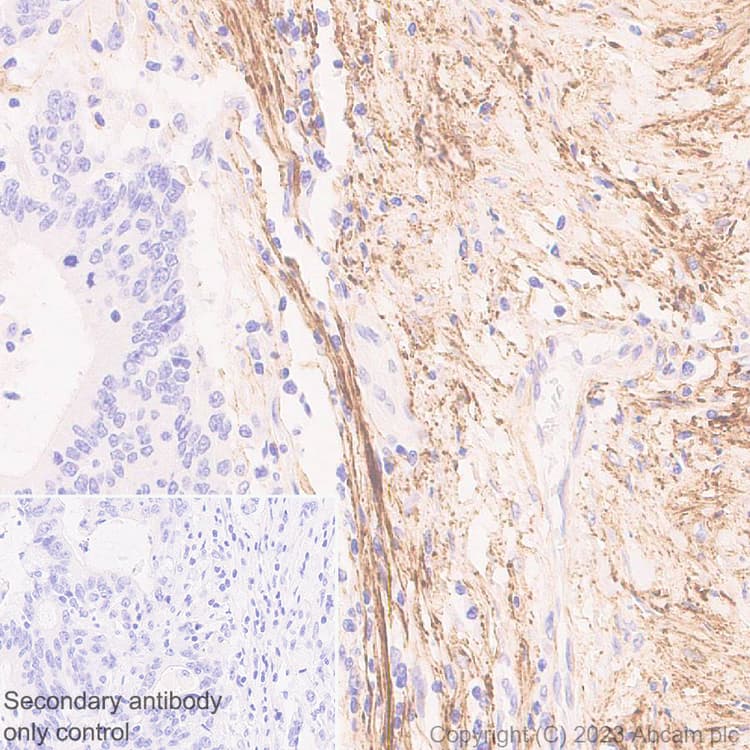
Rabbit Recombinant Monoclonal Fibrillin 1 antibody. Carrier free. Suitable for IHC-P, WB and reacts with Human, Recombinant fragment - Human samples.
Specifications
Shipped At Conditions Blue Ice
Appropriate Long term Storage Conditions Store at +4°C.
Clonality Monoclonal
Applications Flow Cyt (Intra), ICC/IF, IHC-P, IP, WB
Species Reactivity Human, Mouse, Rat
Isotype IgG