JavaScript is disabled in your browser. Please enable JavaScript to view this website.

Anti-pan Brd4 antibody [EPR25424-71](AB314432)

$undefined

Anti-pan Brd4 antibody [EPR25424-71](AB314432)

Anti-pan Brd4 antibody [EPR25424-71](AB314432)

Anti-pan Brd4 antibody [EPR25424-71](AB314432)

Anti-pan Brd4 antibody [EPR25424-71](AB314432)

Anti-pan Brd4 antibody [EPR25424-71](AB314432)

Anti-pan Brd4 antibody [EPR25424-71](AB314432)

Anti-pan Brd4 antibody [EPR25424-71](AB314432)

Anti-pan Brd4 antibody [EPR25424-71](AB314432)

Anti-pan Brd4 antibody [EPR25424-71](AB314432)

Anti-pan Brd4 antibody [EPR25424-71](AB314432)

Anti-pan Brd4 antibody [EPR25424-71](AB314432)

Anti-pan Brd4 antibody [EPR25424-71](AB314432)

Anti-pan Brd4 antibody [EPR25424-71](AB314432)

Anti-pan Brd4 antibody [EPR25424-71](AB314432)

Anti-pan Brd4 antibody [EPR25424-71](AB314432)

Anti-pan Brd4 antibody [EPR25424-71](AB314432)

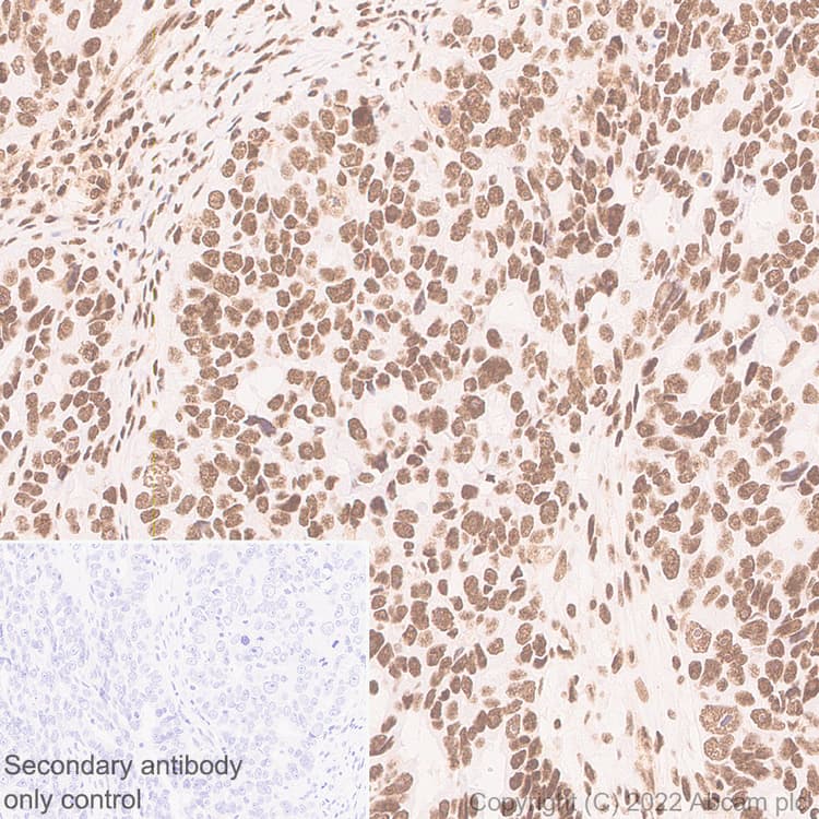
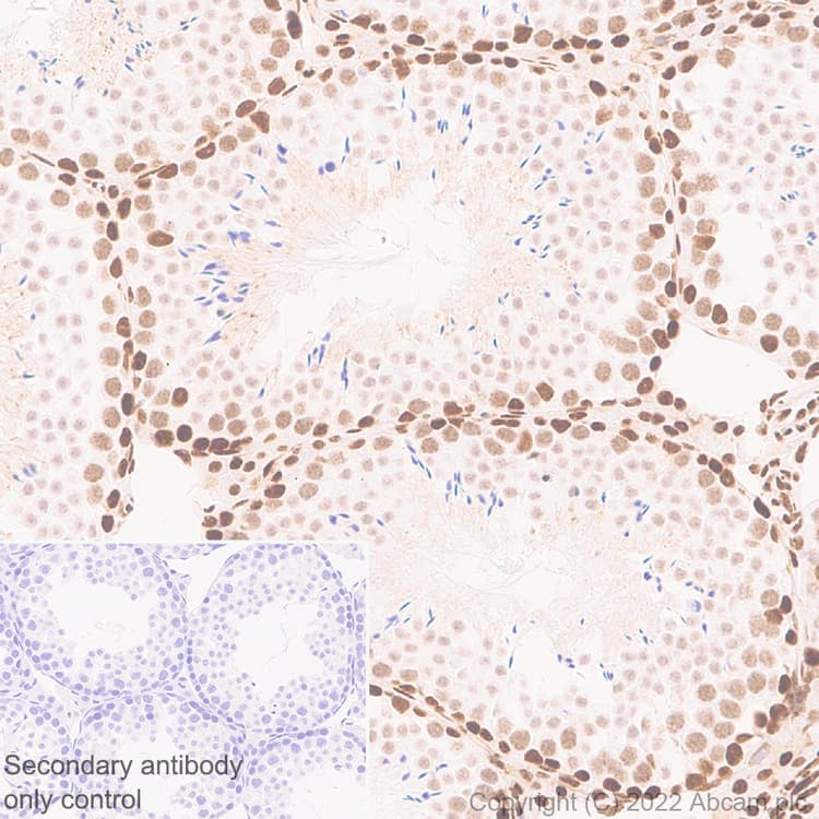
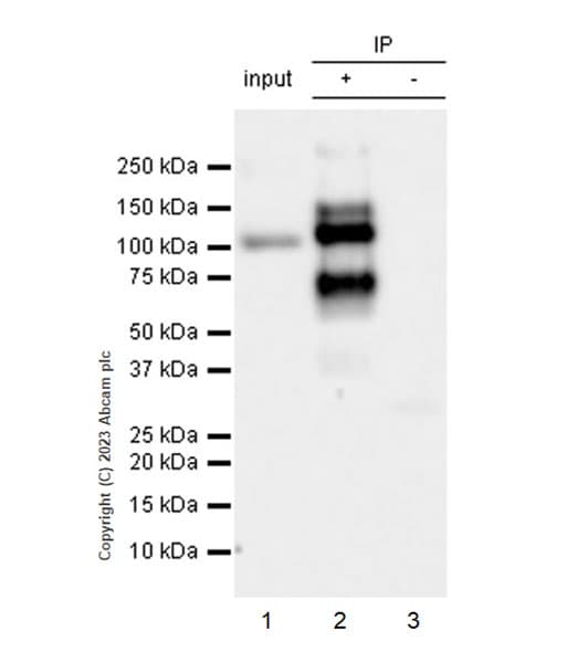
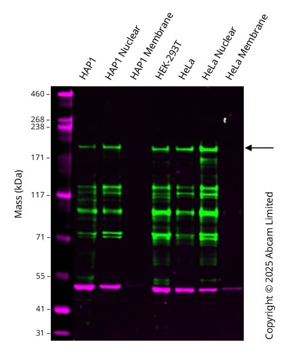
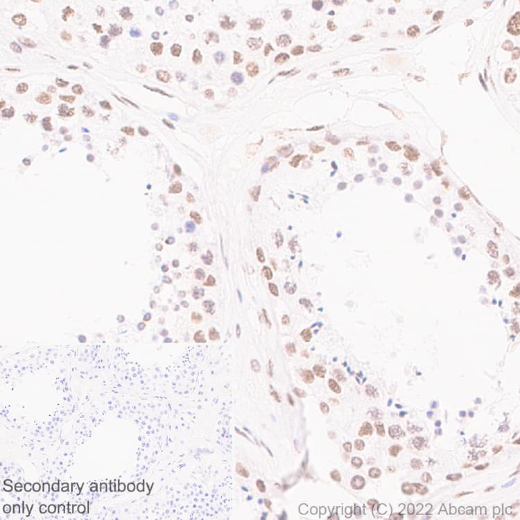
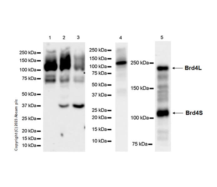
Rabbit Recombinant Monoclonal BRD4 antibody. Suitable for WB, IHC-P, Flow Cyt (Intra), ICC/IF, IP, ChIP-seq and reacts with Human, Mouse, Rat samples.
Specifications
Shipped At Conditions Blue Ice
Appropriate Long term Storage Conditions Store at -20°C.
Clonality Monoclonal
Applications Human, Mouse, Rat
Species Reactivity ChIP-seq, Flow Cyt (Intra), ICC/IF, IHC-P, IP, WB
Isotype IgG
Conjugation -
CAS Number -