JavaScript is disabled in your browser. Please enable JavaScript to view this website.

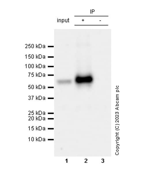
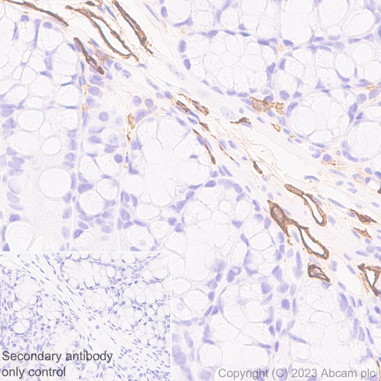
Anti-LYVE1 antibody [RM1067](AB314241)

$undefined

Anti-LYVE1 antibody [RM1067](AB314241)

Anti-LYVE1 antibody [RM1067](AB314241)

Anti-LYVE1 antibody [RM1067](AB314241)

Anti-LYVE1 antibody [RM1067](AB314241)

Anti-LYVE1 antibody [RM1067](AB314241)

Anti-LYVE1 antibody [RM1067](AB314241)

Anti-LYVE1 antibody [RM1067](AB314241)

Anti-LYVE1 antibody [RM1067](AB314241)

Anti-LYVE1 antibody [RM1067](AB314241)

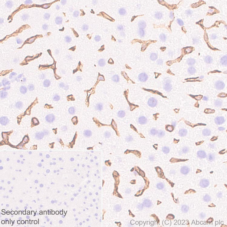
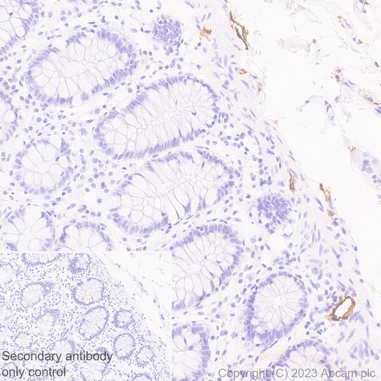
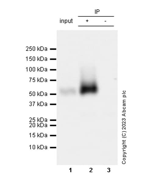
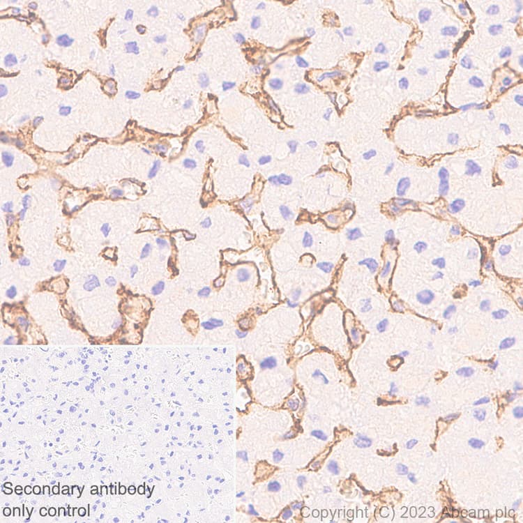
Rabbit Multiclonal LYVE1 antibody. Suitable for WB, IHC-P, IP, IHC-Fr and reacts with Human, Mouse samples.
Specifications
Shipped At Conditions Blue Ice
Appropriate Long term Storage Conditions Store at -20°C.
Clonality Multiclonal
Applications Flow Cyt, ICC/IF, IHC-Fr, IHC-P, IP, WB
Species Reactivity Human, Mouse
Isotype IgG