JavaScript is disabled in your browser. Please enable JavaScript to view this website.

Anti-DOM3Z antibody [EPR27511-140] - BSA and Azide free(AB314125)

$undefined

Dom3z Antibody Epr27511 140 Bsa And Azide Free Ab314125  Flow Cytometry Intracellular Img420033

Dom3z Antibody Epr27511 140 Bsa And Azide Free Ab314125  Immunocytochemistry Immunofluorescence Img420029

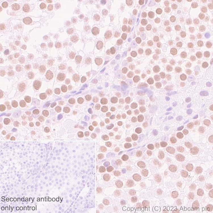
Dom3z Antibody Epr27511 140 Bsa And Azide Free Ab314125  Immunohistochemistry Formalin Pfa Fixed Paraffin Embedded Sections Img419994

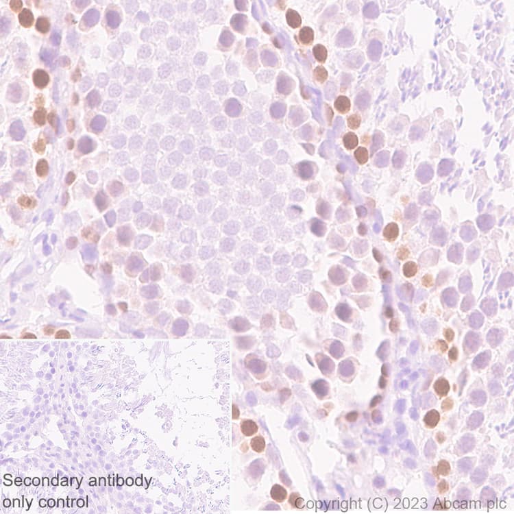
Dom3z Antibody Epr27511 140 Bsa And Azide Free Ab314125  Immunohistochemistry Formalin Pfa Fixed Paraffin Embedded Sections Img419995

Dom3z Antibody Epr27511 140 Bsa And Azide Free Ab314125  Western Blot Img419958

Dom3z Antibody Epr27511 140 Bsa And Azide Free Ab314125  Western Blot Img419959

Dom3z Antibody Epr27511 140 Bsa And Azide Free Ab314125  Western Blot Img419960

Rabbit Recombinant Monoclonal DOM3Z antibody. Carrier free. Suitable for IHC-P, ICC/IF, Flow Cyt (Intra), WB and reacts with Mouse, Rat, Human samples.
Specifications
Shipped At Conditions Blue Ice
Appropriate Long term Storage Conditions Store at +4°C.
Clonality Monoclonal
Applications Flow Cyt (Intra), ICC/IF, IHC-P, IP, WB
Species Reactivity Human, Mouse, Rat
Isotype IgG