JavaScript is disabled in your browser. Please enable JavaScript to view this website.

Anti-Ly6c antibody [EPR27220-23](AB314120)

$undefined

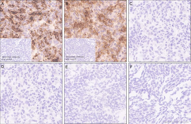
Ly6c Antibody Epr27220 23 Ab314120  Immunohistochemistry Formalin Pfa Fixed Paraffin Embedded Sections Img420010

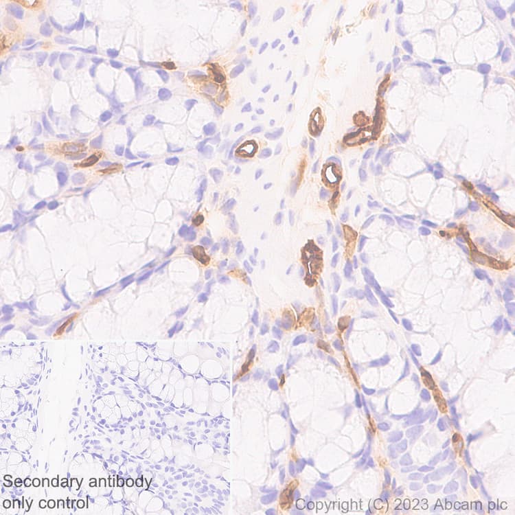
Ly6c Antibody Epr27220 23 Ab314120  Immunohistochemistry Formalin Pfa Fixed Paraffin Embedded Sections Img420011

Ly6c Antibody Epr27220 23 Ab314120  Immunohistochemistry Formalin Pfa Fixed Paraffin Embedded Sections Img420012

Ly6c Antibody Epr27220 23 Ab314120  Immunohistochemistry Formalin Pfa Fixed Paraffin Embedded Sections Img420013

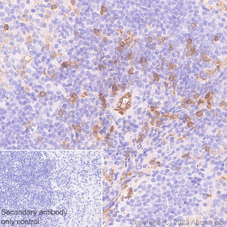
Ly6c Antibody Epr27220 23 Ab314120  Multiplex Immunohistochemistry Img420041

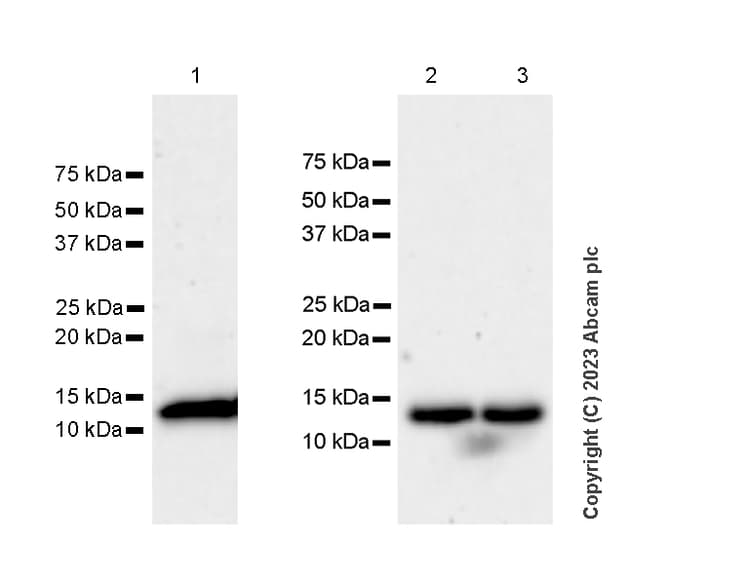
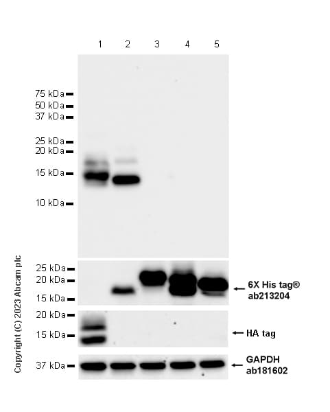
Ly6c Antibody Epr27220 23 Ab314120  Western Blot Img419977

Ly6c Antibody Epr27220 23 Ab314120  Western Blot Img419978

Ly6c Antibody Epr27220 23 Ab314120  Western Blot Img419979

Rabbit Recombinant Monoclonal Ly6c antibody. Suitable for IHC-P, WB, mIHC and reacts with Mouse, Transfected cell line - Mouse, Transfected cell line - Human, Transfected cell lysate - Mouse samples.
Specifications
Shipped At Conditions Blue Ice
Appropriate Long term Storage Conditions Store at -20°C.
Clonality Monoclonal
Applications Flow Cyt, ICC/IF, IHC-P, IP, WB, mIHC
Species Reactivity Human, Mouse, Rat
Isotype IgG