JavaScript is disabled in your browser. Please enable JavaScript to view this website.

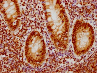
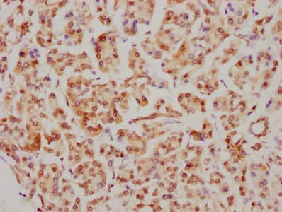
Anti-CDC5L antibody [1E3](ab314000)

$undefined

Anti-CDC5L antibody [1E3](ab314000)

Anti-CDC5L antibody [1E3](ab314000)

Anti-CDC5L antibody [1E3](ab314000)

Anti-CDC5L antibody [1E3](ab314000)

Anti-CDC5L antibody [1E3](ab314000)

Rabbit Recombinant Monoclonal CDC5L antibody. Suitable for WB, IHC-P, ICC/IF, IP and reacts with Human samples. Immunogen corresponding to Synthetic Peptide within Human Cell division cycle 5-like protein.
Specifications
Shipped At Conditions Blue Ice
Appropriate Long term Storage Conditions Store at -20°C.
Clonality Monoclonal
Applications ICC/IF, IHC-P, IP, WB
Species Reactivity Human
Isotype IgG