JavaScript is disabled in your browser. Please enable JavaScript to view this website.

Anti-Kappa light chain antibody [RM1057] - BSA and Azide free(ab313896)

$undefined

Anti-Kappa light chain antibody [RM1057] - BSA and Azide free(ab313896)

Anti-Kappa light chain antibody [RM1057] - BSA and Azide free(ab313896)

Anti-Kappa light chain antibody [RM1057] - BSA and Azide free(ab313896)

Anti-Kappa light chain antibody [RM1057] - BSA and Azide free(ab313896)

Anti-Kappa light chain antibody [RM1057] - BSA and Azide free(ab313896)

Anti-Kappa light chain antibody [RM1057] - BSA and Azide free(ab313896)

Anti-Kappa light chain antibody [RM1057] - BSA and Azide free(ab313896)

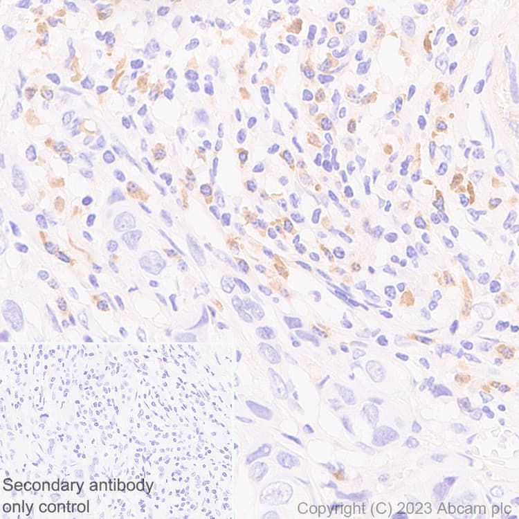
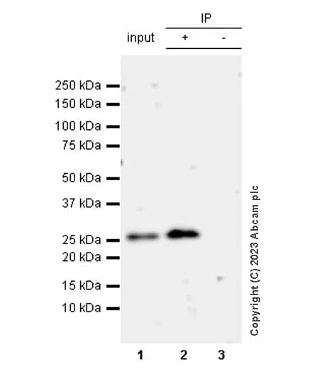
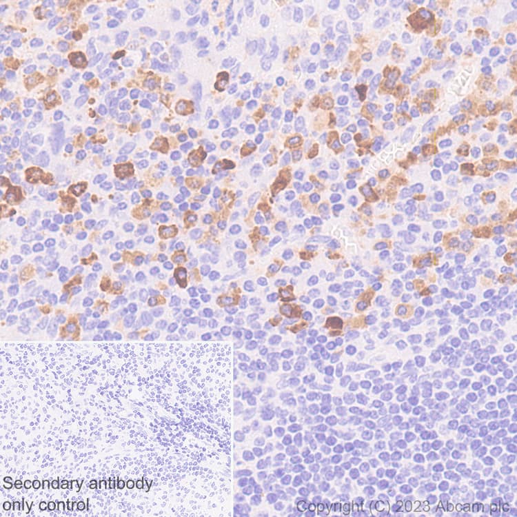
Rabbit Recombinant Multiclonal IGKC antibody. Carrier free. Suitable for WB, IHC-P, ICC/IF, IP, I-ELISA and reacts with Human, Recombinant fragment - Human samples.
Specifications
Shipped At Conditions Blue Ice
Appropriate Long term Storage Conditions Store at +4°C.
Clonality Multiclonal
Applications Flow Cyt, I-ELISA, ICC/IF, IHC-P, IP, WB
Species Reactivity Human
Isotype IgG