JavaScript is disabled in your browser. Please enable JavaScript to view this website.

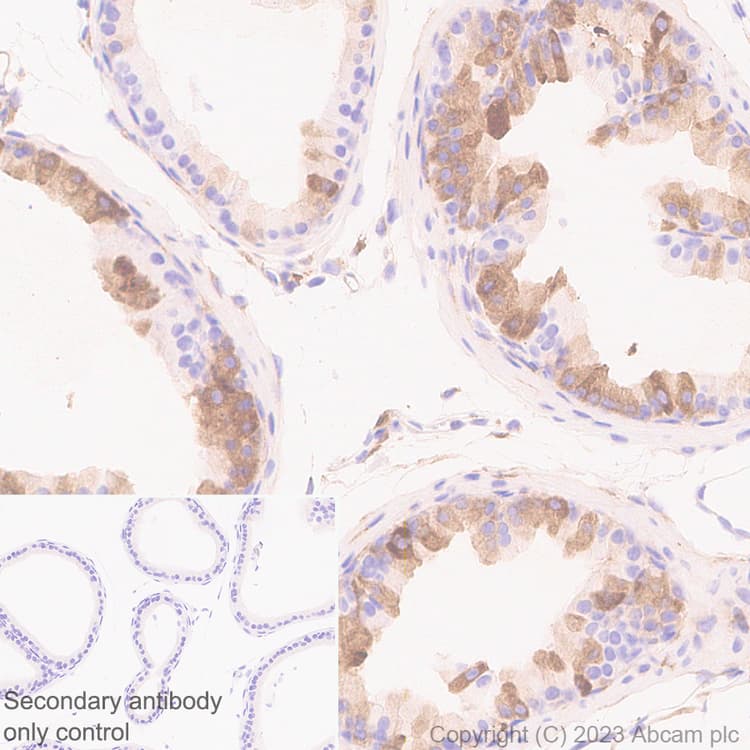
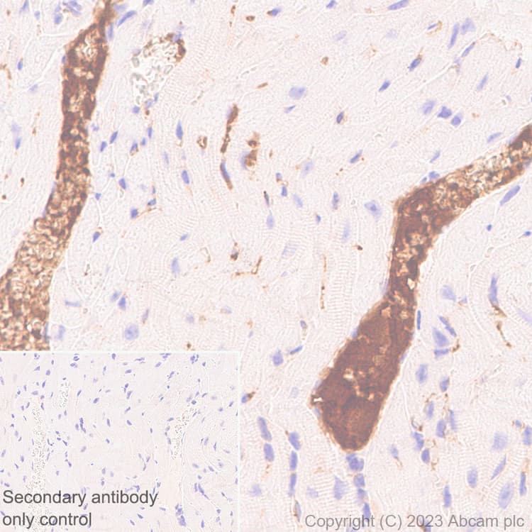
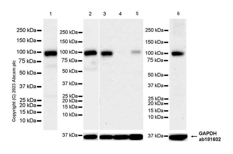
Anti-C1s antibody [EPR28071-53](ab313883)

$undefined

Anti-C1s antibody [EPR28071-53](ab313883)

Anti-C1s antibody [EPR28071-53](ab313883)

Anti-C1s antibody [EPR28071-53](ab313883)

Anti-C1s antibody [EPR28071-53](ab313883)

Anti-C1s antibody [EPR28071-53](ab313883)

Rabbit Recombinant Monoclonal CS1B antibody. Suitable for WB, IHC-P and reacts with Mouse samples.
Specifications
Shipped At Conditions Blue Ice
Appropriate Long term Storage Conditions Store at -20°C.
Clonality Monoclonal
Applications Flow Cyt, ICC/IF, IHC-P, IP, WB
Species Reactivity Human, Mouse, Rat
Isotype IgG