JavaScript is disabled in your browser. Please enable JavaScript to view this website.

Anti-Prosurfactant Protein C antibody [EPR28174-18](ab312850)

$undefined

Anti-Prosurfactant Protein C antibody [EPR28174-18](ab312850)

Anti-Prosurfactant Protein C antibody [EPR28174-18](ab312850)

Anti-Prosurfactant Protein C antibody [EPR28174-18](ab312850)

Anti-Prosurfactant Protein C antibody [EPR28174-18](ab312850)

Anti-Prosurfactant Protein C antibody [EPR28174-18](ab312850)

Anti-Prosurfactant Protein C antibody [EPR28174-18](ab312850)

Anti-Prosurfactant Protein C antibody [EPR28174-18](ab312850)

Anti-Prosurfactant Protein C antibody [EPR28174-18](ab312850)

Anti-Prosurfactant Protein C antibody [EPR28174-18](ab312850)

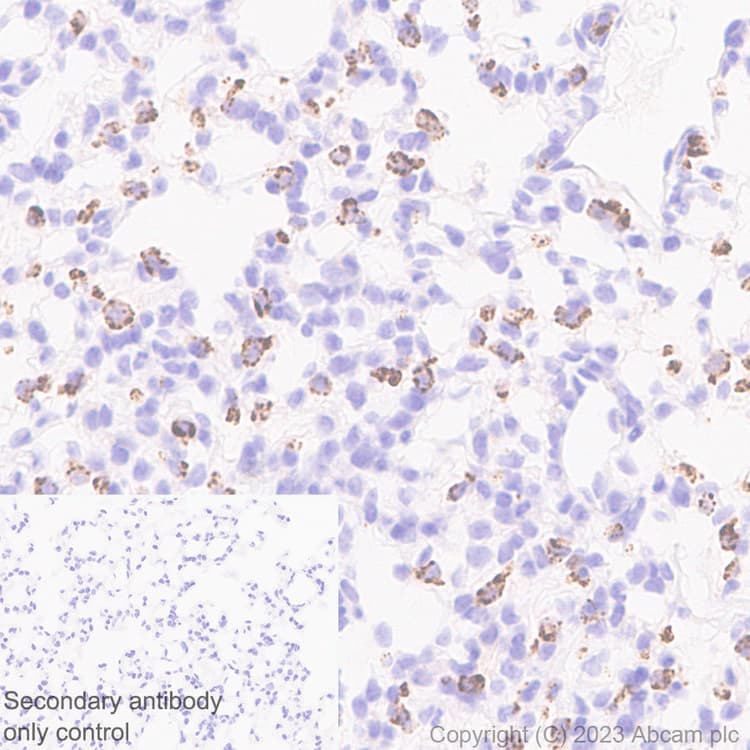
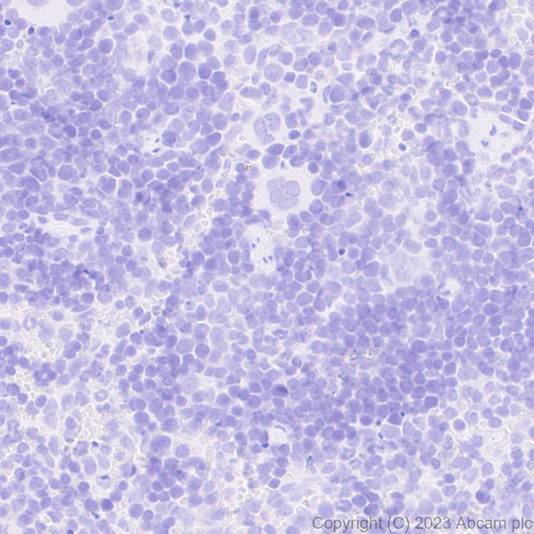
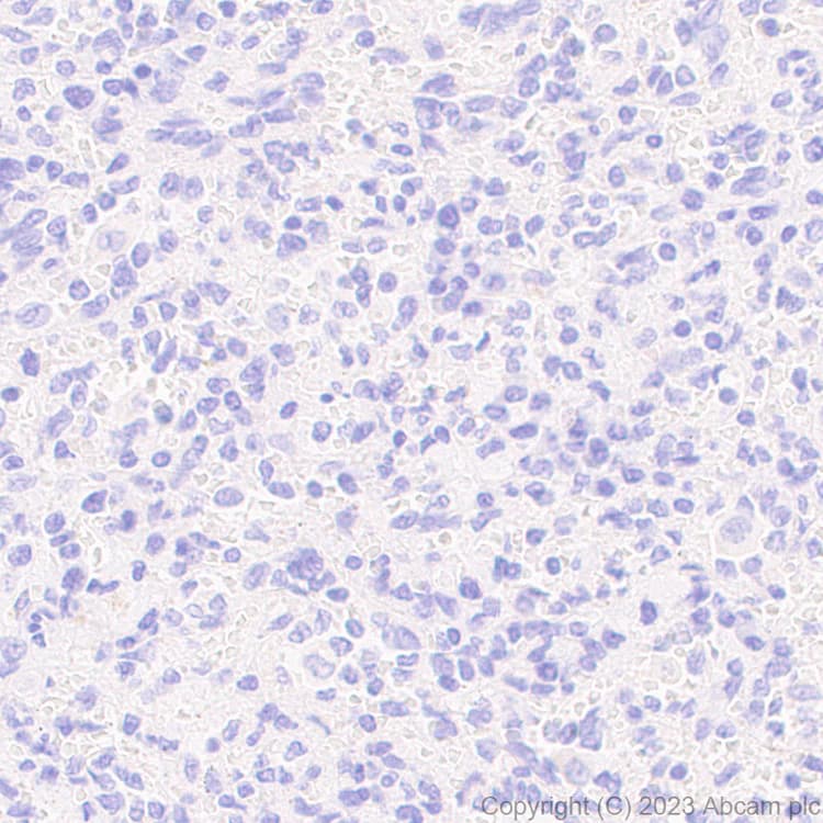
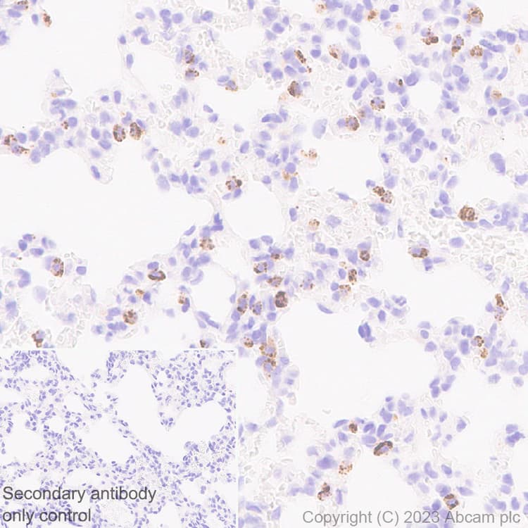
Rabbit Recombinant Monoclonal Prosurfactant Protein C antibody. Suitable for mIHC, IHC-P, WB, IP and reacts with Human, Mouse, Rat samples.
Specifications
Shipped At Conditions Blue Ice
Appropriate Long term Storage Conditions Store at -20°C.
Clonality Monoclonal
Applications Flow Cyt (Intra), IHC-P, IP, WB, mIHC
Species Reactivity Human, Mouse, Rat
Isotype IgG