JavaScript is disabled in your browser. Please enable JavaScript to view this website.

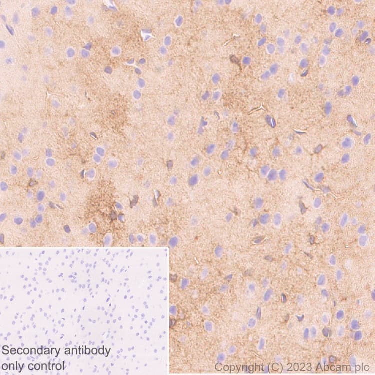
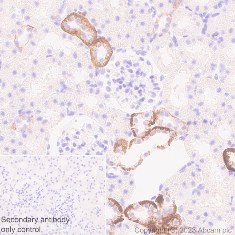
Anti-Kir4.1/KCNJ10 antibody [EPR27251-74](AB312844)

$undefined

Anti-Kir4.1/KCNJ10 antibody [EPR27251-74](AB312844)

Anti-Kir4.1/KCNJ10 antibody [EPR27251-74](AB312844)

Anti-Kir4.1/KCNJ10 antibody [EPR27251-74](AB312844)

Anti-Kir4.1/KCNJ10 antibody [EPR27251-74](AB312844)

Anti-Kir4.1/KCNJ10 antibody [EPR27251-74](AB312844)

Anti-Kir4.1/KCNJ10 antibody [EPR27251-74](AB312844)

Anti-Kir4.1/KCNJ10 antibody [EPR27251-74](AB312844)

Anti-Kir4.1/KCNJ10 antibody [EPR27251-74](AB312844)

Anti-Kir4.1/KCNJ10 antibody [EPR27251-74](AB312844)

Anti-Kir4.1/KCNJ10 antibody [EPR27251-74](AB312844)

Anti-Kir4.1/KCNJ10 antibody [EPR27251-74](AB312844)

Rabbit Recombinant Monoclonal Kir4.1/KCNJ10 antibody. Suitable for IHC-P, Flow Cyt (Intra), ICC/IF, WB, Dot and reacts with Mouse, Rat, Synthetic peptide samples.
Specifications
Shipped At Conditions Blue Ice
Appropriate Long term Storage Conditions Store at -20°C.
Clonality Monoclonal
Applications Dot, Flow Cyt (Intra), ICC/IF, IHC-Fr, IHC-P, IP, WB
Species Reactivity Human, Mouse, Rat
Isotype IgG