JavaScript is disabled in your browser. Please enable JavaScript to view this website.

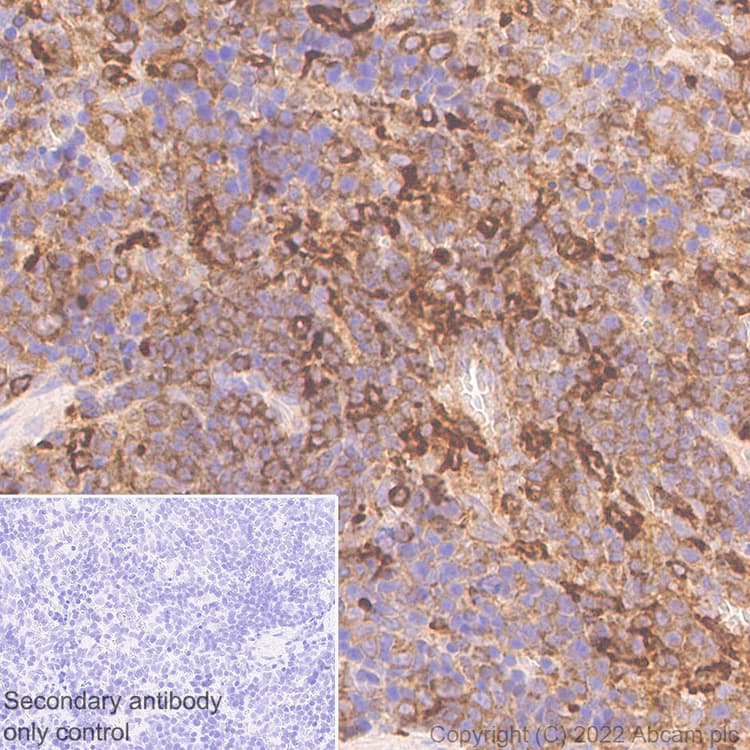
Anti-CBL antibody [17/c-Cbl](AB309549)

$undefined

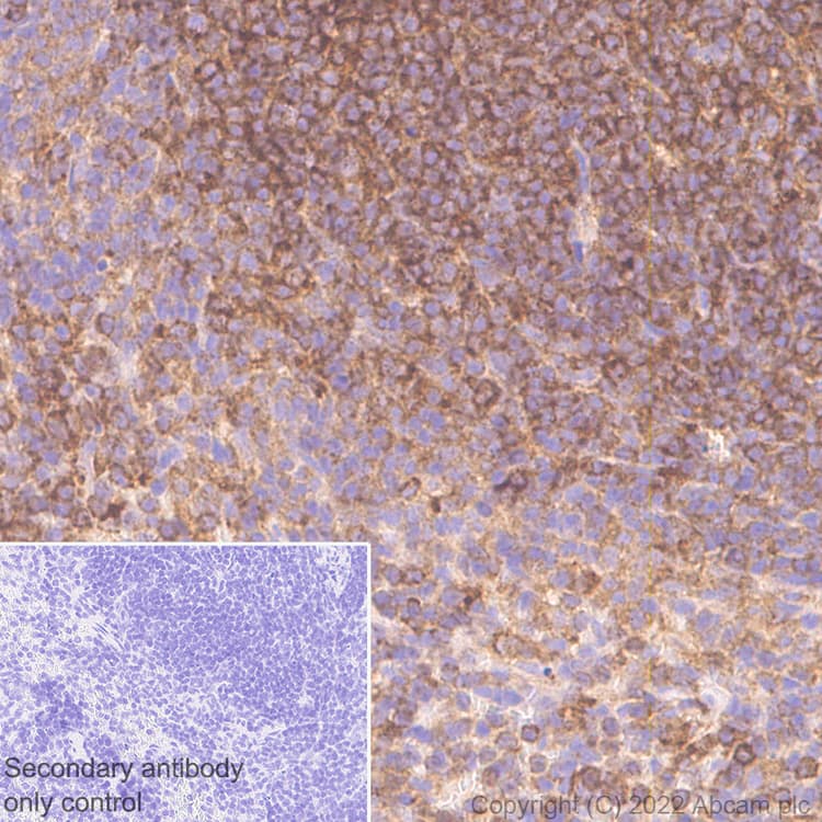
Anti-CBL antibody [17/c-Cbl](AB309549)

Anti-CBL antibody [17/c-Cbl](AB309549)

Anti-CBL antibody [17/c-Cbl](AB309549)

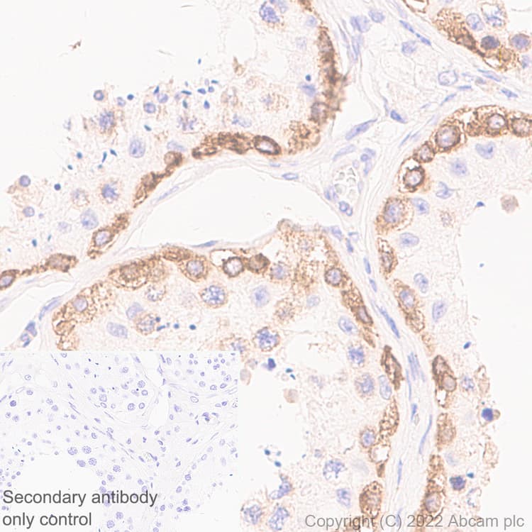
Anti-CBL antibody [17/c-Cbl](AB309549)

Anti-CBL antibody [17/c-Cbl](AB309549)

Anti-CBL antibody [17/c-Cbl](AB309549)

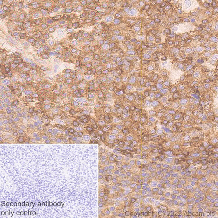
Anti-CBL antibody [17/c-Cbl](AB309549)

Anti-CBL antibody [17/c-Cbl](AB309549)

Anti-CBL antibody [17/c-Cbl](AB309549)

Knockout Tested Mouse Recombinant Monoclonal CBL antibody. Suitable for WB, IHC-P and reacts with Human, Mouse, Rat samples.
Specifications
Shipped At Conditions Blue Ice
Appropriate Long term Storage Conditions Store at -20°C.
Clonality Monoclonal
Applications Flow Cyt, ICC/IF, IHC-P, IP, WB
Species Reactivity Human, Mouse, Rat
Isotype IgG1