JavaScript is disabled in your browser. Please enable JavaScript to view this website.

Anti-WTAP (phospho S341) antibody [EPR27039-57] - BSA and Azide free(ab309351)

$undefined

Anti-WTAP (phospho S341) antibody [EPR27039-57] - BSA and Azide free(ab309351)

Anti-WTAP (phospho S341) antibody [EPR27039-57] - BSA and Azide free(ab309351)

Anti-WTAP (phospho S341) antibody [EPR27039-57] - BSA and Azide free(ab309351)

Anti-WTAP (phospho S341) antibody [EPR27039-57] - BSA and Azide free(ab309351)

Anti-WTAP (phospho S341) antibody [EPR27039-57] - BSA and Azide free(ab309351)

Anti-WTAP (phospho S341) antibody [EPR27039-57] - BSA and Azide free(ab309351)

Anti-WTAP (phospho S341) antibody [EPR27039-57] - BSA and Azide free(ab309351)

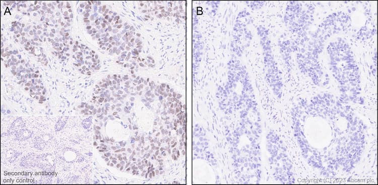
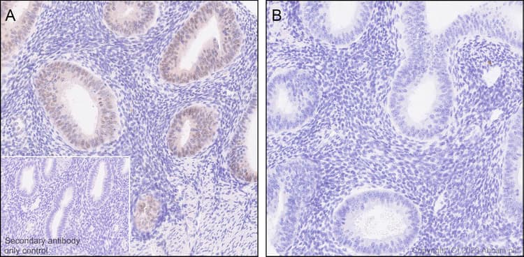
Knockout Tested Rabbit Recombinant Monoclonal WTAP phospho S341 antibody. Carrier free. Suitable for WB, IHC-P, IP, Dot and reacts with Human, Synthetic peptide samples.
Specifications
Shipped At Conditions Blue Ice
Appropriate Long term Storage Conditions Store at +4°C.
Clonality Monoclonal
Applications Dot, Flow Cyt (Intra), ICC/IF, IHC-P, IP, WB
Species Reactivity Human, Mouse, Rat
Isotype IgG