JavaScript is disabled in your browser. Please enable JavaScript to view this website.

Anti-Alpha-synuclein antibody [MJFR1] - Mouse IgG2a (Chimeric)(AB309157)

$undefined

Anti-Alpha-synuclein antibody [MJFR1] - Mouse IgG2a (Chimeric)(AB309157)

Anti-Alpha-synuclein antibody [MJFR1] - Mouse IgG2a (Chimeric)(AB309157)

Anti-Alpha-synuclein antibody [MJFR1] - Mouse IgG2a (Chimeric)(AB309157)

Anti-Alpha-synuclein antibody [MJFR1] - Mouse IgG2a (Chimeric)(AB309157)

Anti-Alpha-synuclein antibody [MJFR1] - Mouse IgG2a (Chimeric)(AB309157)

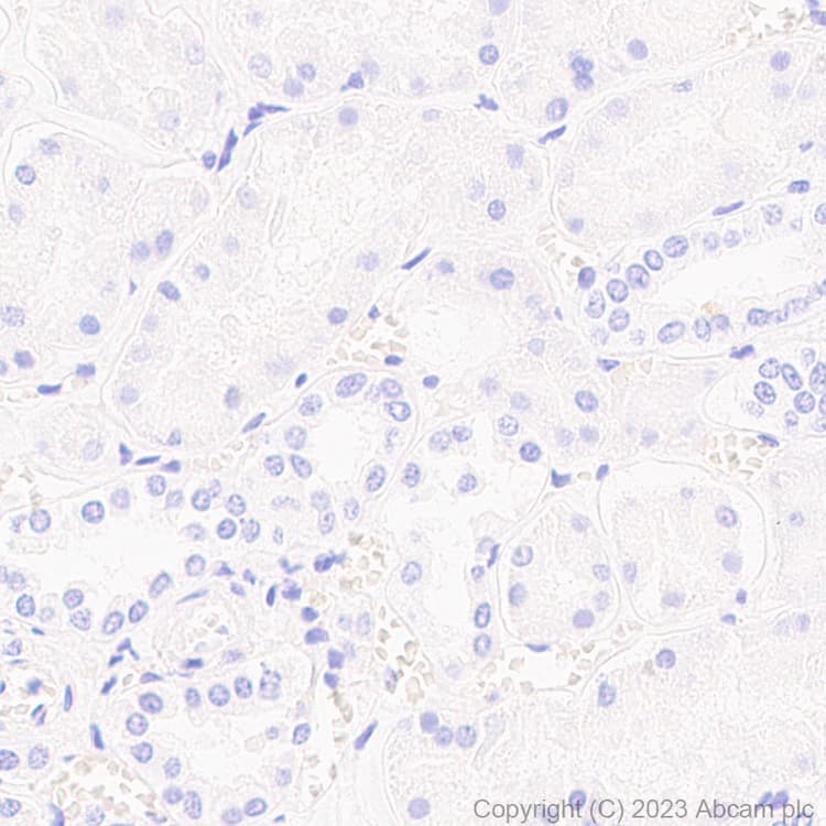
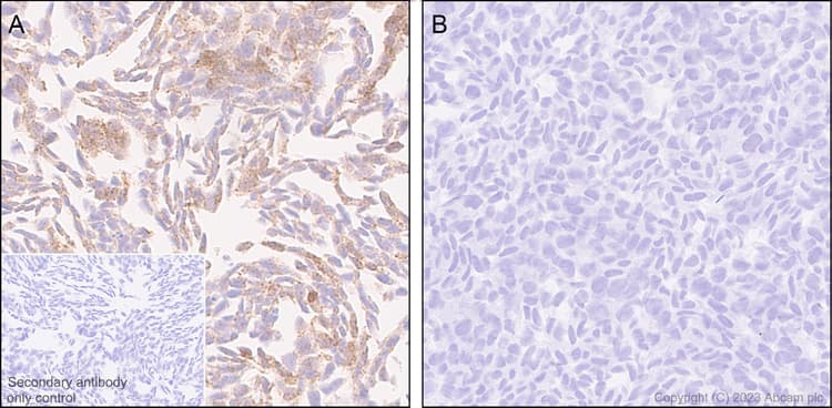
Knockout Tested Mouse Monoclonal Alpha-synuclein antibody. Suitable for WB, IHC-P and reacts with Human samples.
Specifications
Shipped At Conditions Blue Ice
Appropriate Long term Storage Conditions Store at -20°C.
Clonality Monoclonal
Applications Human
Species Reactivity Flow Cyt (Intra), ICC/IF, IHC-P, IP, WB
Isotype IgG2a
Conjugation -
CAS Number -