JavaScript is disabled in your browser. Please enable JavaScript to view this website.

Anti-FOXF1 antibody [EPR27368-79](AB308633)

$undefined

Foxf1 Antibody Epr27368 79 Ab308633  Immunohistochemistry Formalin Pfa Fixed Paraffin Embedded Sections Img409738

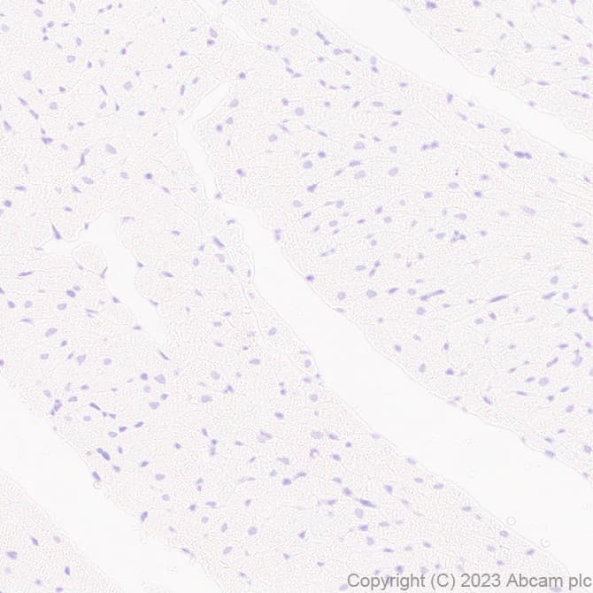
Foxf1 Antibody Epr27368 79 Ab308633  Immunohistochemistry Formalin Pfa Fixed Paraffin Embedded Sections Img409739

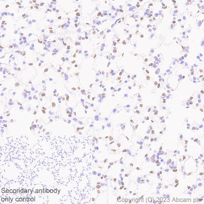
Foxf1 Antibody Epr27368 79 Ab308633  Immunohistochemistry Formalin Pfa Fixed Paraffin Embedded Sections Img409740

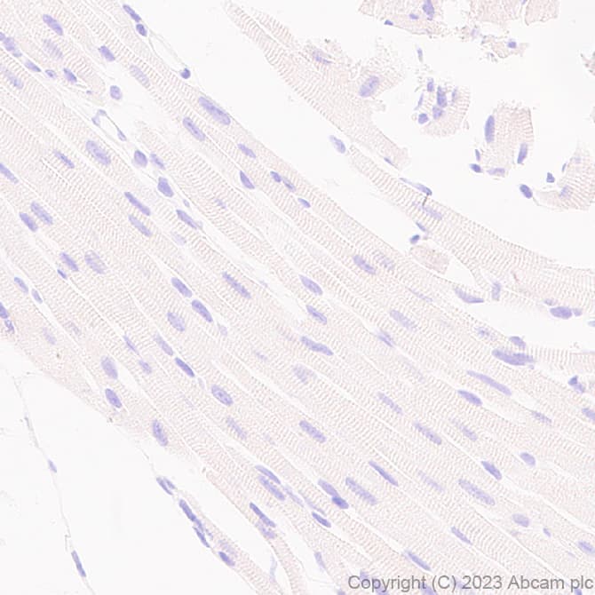
Foxf1 Antibody Epr27368 79 Ab308633  Immunohistochemistry Formalin Pfa Fixed Paraffin Embedded Sections Img409741

Foxf1 Antibody Epr27368 79 Ab308633  Immunoprecipitation Img409742

Foxf1 Antibody Epr27368 79 Ab308633  Western Blot Img409743

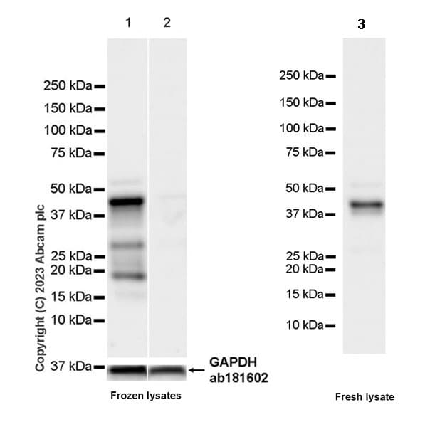
Foxf1 Antibody Epr27368 79 Ab308633  Western Blot Img409744

Foxf1 Antibody Epr27368 79 Ab308633  Western Blot Img409745

Rabbit Recombinant Monoclonal FOXF1 antibody. Suitable for WB, IHC-P, IP and reacts with Human, Mouse, Rat samples.
Specifications
Shipped At Conditions Blue Ice
Appropriate Long term Storage Conditions Store at -20°C.
Clonality Monoclonal
Applications ChIP, IHC-P, IP, WB
Species Reactivity Human, Mouse, Rat
Isotype IgG