JavaScript is disabled in your browser. Please enable JavaScript to view this website.

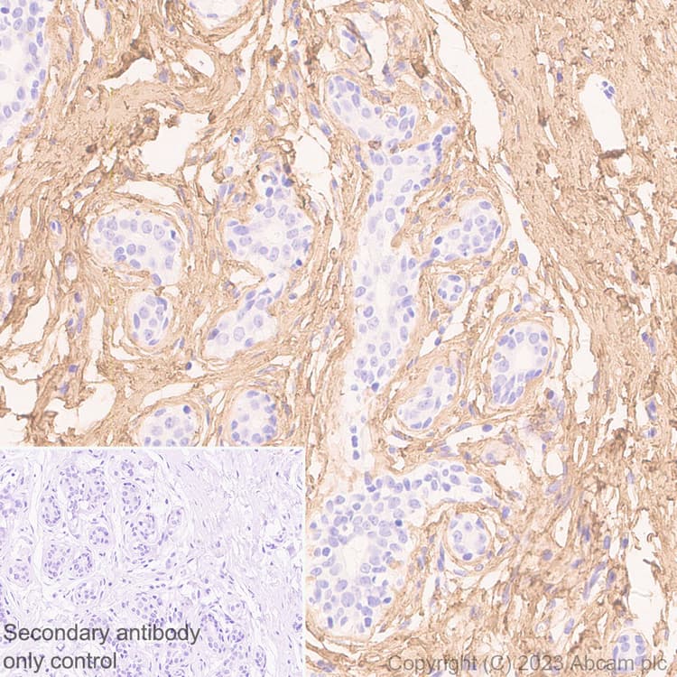
Anti-COL1A2 antibody [EPR27415-30](ab308455)

$undefined

Anti-COL1A2 antibody [EPR27415-30](ab308455)

Anti-COL1A2 antibody [EPR27415-30](ab308455)

Anti-COL1A2 antibody [EPR27415-30](ab308455)

Anti-COL1A2 antibody [EPR27415-30](ab308455)

Anti-COL1A2 antibody [EPR27415-30](ab308455)

Anti-COL1A2 antibody [EPR27415-30](ab308455)

Anti-COL1A2 antibody [EPR27415-30](ab308455)

Anti-COL1A2 antibody [EPR27415-30](ab308455)

Rabbit Recombinant Monoclonal COL1A2 antibody. Suitable for Dot, WB, IHC-P, ICC/IF, Flow Cyt (Intra) and reacts with Synthetic peptide - Human, Human samples.
Specifications
Shipped At Conditions Blue Ice
Appropriate Long term Storage Conditions Store at -20°C.
Clonality Monoclonal
Applications Dot, Flow Cyt (Intra), ICC/IF, IHC-P, IP, WB
Species Reactivity Human, Mouse, Rat
Isotype IgG