JavaScript is disabled in your browser. Please enable JavaScript to view this website.

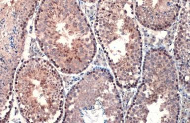
Anti-Androgen Receptor ARv7 Splice Variant antibody [HL1028](ab308335)

$undefined

Anti-Androgen Receptor ARv7 Splice Variant antibody [HL1028](ab308335)

Anti-Androgen Receptor ARv7 Splice Variant antibody [HL1028](ab308335)

Anti-Androgen Receptor ARv7 Splice Variant antibody [HL1028](ab308335)

Rabbit Recombinant Monoclonal Androgen Receptor antibody. Carrier free. Suitable for IHC-P, ICC/IF, WB and reacts with Mouse, Human samples. Immunogen corresponding to Synthetic Peptide within Human AR.
Specifications
Shipped At Conditions Blue Ice
Appropriate Long term Storage Conditions Store at +4°C.
Clonality Monoclonal
Applications ICC/IF, IHC-P, WB
Species Reactivity Human, Mouse
Isotype IgG