JavaScript is disabled in your browser. Please enable JavaScript to view this website.

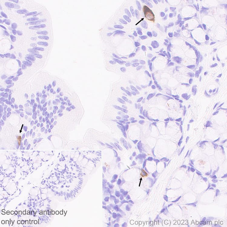
Anti-Neurotensin antibody [EPR27180-62](ab308302)

$undefined

Anti-Neurotensin antibody [EPR27180-62](ab308302)

Anti-Neurotensin antibody [EPR27180-62](ab308302)

Anti-Neurotensin antibody [EPR27180-62](ab308302)

Anti-Neurotensin antibody [EPR27180-62](ab308302)

Anti-Neurotensin antibody [EPR27180-62](ab308302)

Anti-Neurotensin antibody [EPR27180-62](ab308302)

Rabbit Recombinant Monoclonal Neurotensin antibody. Suitable for IHC-P and reacts with Human, Transfected cell line - Human, Mouse samples.
Specifications
Shipped At Conditions Blue Ice
Appropriate Long term Storage Conditions Store at -20°C.
Clonality Monoclonal
Applications IHC-P, WB
Species Reactivity Human, Mouse, Rat
Isotype IgG