JavaScript is disabled in your browser. Please enable JavaScript to view this website.

Anti-GWL antibody [EPR26356-80](AB307955)

$undefined

Anti-GWL antibody [EPR26356-80](AB307955)

Anti-GWL antibody [EPR26356-80](AB307955)

Anti-GWL antibody [EPR26356-80](AB307955)

Anti-GWL antibody [EPR26356-80](AB307955)

Anti-GWL antibody [EPR26356-80](AB307955)

Anti-GWL antibody [EPR26356-80](AB307955)

Anti-GWL antibody [EPR26356-80](AB307955)

Anti-GWL antibody [EPR26356-80](AB307955)

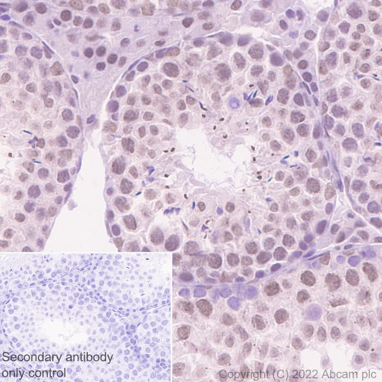
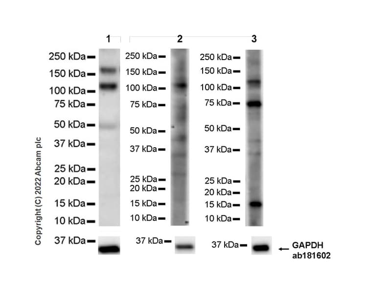
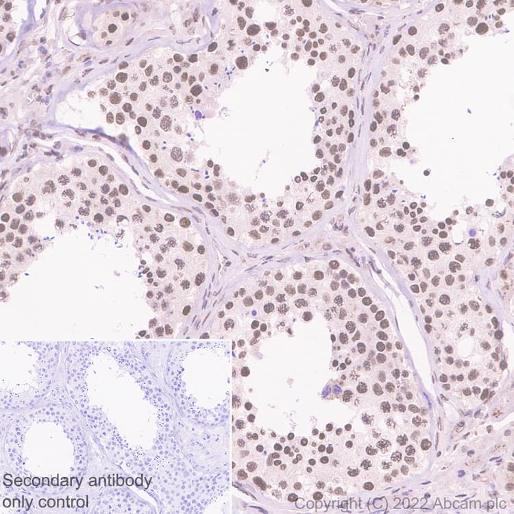
Rabbit Recombinant Monoclonal GWL antibody. Suitable for WB, IHC-P, ICC/IF, Flow Cyt (Intra) and reacts with Human, Mouse samples.
Specifications
Shipped At Conditions Blue Ice
Appropriate Long term Storage Conditions Store at -20°C.
Clonality Monoclonal
Applications Flow Cyt (Intra), ICC/IF, IHC-Fr, IHC-P, IP, WB
Species Reactivity Human, Mouse, Rat
Isotype IgG