JavaScript is disabled in your browser. Please enable JavaScript to view this website.

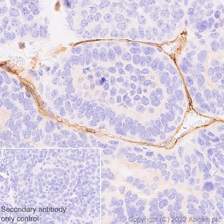
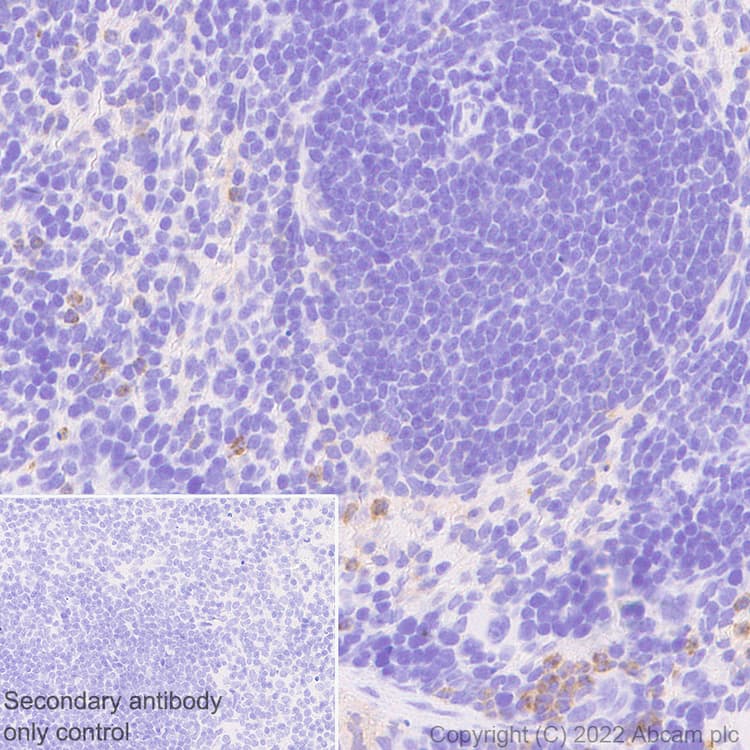
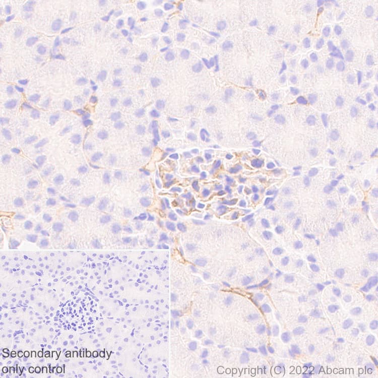
Anti-uPA Receptor/U-PAR antibody [EPR26916-73](AB307895)

$undefined

Anti-uPA Receptor/U-PAR antibody [EPR26916-73](AB307895)

Anti-uPA Receptor/U-PAR antibody [EPR26916-73](AB307895)

Anti-uPA Receptor/U-PAR antibody [EPR26916-73](AB307895)

Anti-uPA Receptor/U-PAR antibody [EPR26916-73](AB307895)

Anti-uPA Receptor/U-PAR antibody [EPR26916-73](AB307895)

Anti-uPA Receptor/U-PAR antibody [EPR26916-73](AB307895)

Anti-uPA Receptor/U-PAR antibody [EPR26916-73](AB307895)

Rabbit Recombinant Monoclonal uPA Receptor/U-PAR antibody. Suitable for WB, IHC-P, IP and reacts with Mouse samples.
Specifications
Shipped At Conditions Blue Ice
Appropriate Long term Storage Conditions Store at -20°C.
Clonality Monoclonal
Applications Flow Cyt, ICC/IF, IHC-P, IP, WB
Species Reactivity Human, Mouse, Rat
Isotype IgG