JavaScript is disabled in your browser. Please enable JavaScript to view this website.

Anti-NF-kB p65 antibody [E379] - Mouse IgG2a (Chimeric)(AB307840)

$undefined

Anti-NF-kB p65 antibody [E379] - Mouse IgG2a (Chimeric)(AB307840)

Anti-NF-kB p65 antibody [E379] - Mouse IgG2a (Chimeric)(AB307840)

Anti-NF-kB p65 antibody [E379] - Mouse IgG2a (Chimeric)(AB307840)

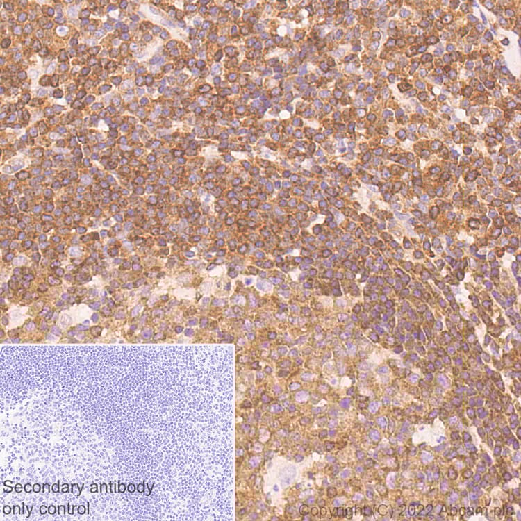
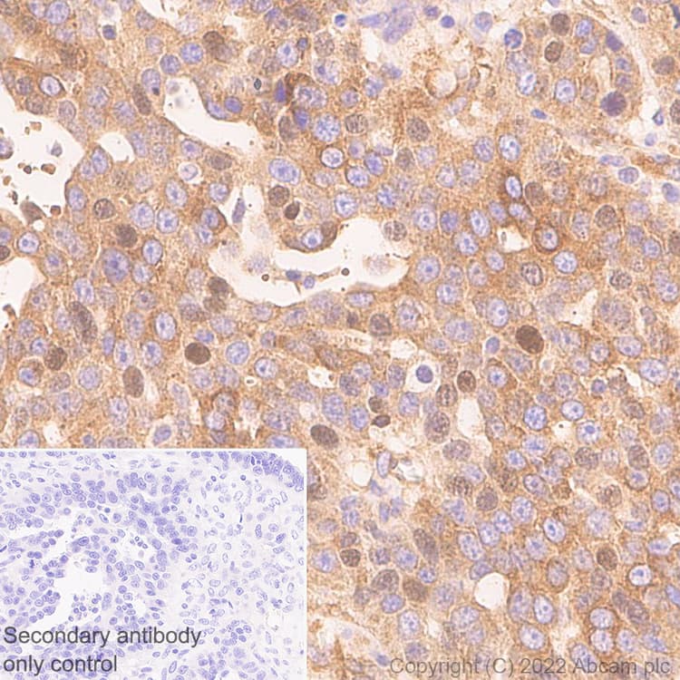
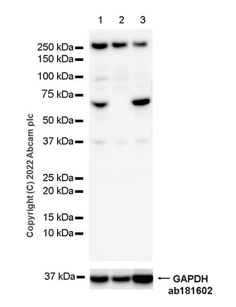
Knockout Tested Mouse Recombinant Monoclonal NF-kB p65 antibody. Suitable for WB, IHC-P and reacts with Human samples.
Specifications
Shipped At Conditions Blue Ice
Appropriate Long term Storage Conditions Store at -20°C.
Clonality Monoclonal
Applications ICC/IF, IHC-P, IP, WB
Species Reactivity Human, Mouse, Rat
Isotype IgG2a