JavaScript is disabled in your browser. Please enable JavaScript to view this website.

Anti-MAdCAM1 antibody [EPR27223-77](AB307827)

$undefined

Anti-MAdCAM1 antibody [EPR27223-77](AB307827)

Anti-MAdCAM1 antibody [EPR27223-77](AB307827)

Anti-MAdCAM1 antibody [EPR27223-77](AB307827)

Anti-MAdCAM1 antibody [EPR27223-77](AB307827)

Anti-MAdCAM1 antibody [EPR27223-77](AB307827)

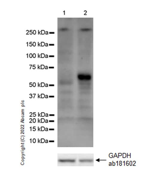
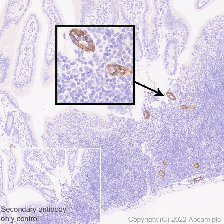
Rabbit Recombinant Monoclonal MAdCAM1 antibody. Suitable for WB, IHC-P, IP and reacts with Mouse samples.
Specifications
Shipped At Conditions Blue Ice
Appropriate Long term Storage Conditions Store at -20°C.
Clonality Monoclonal
Applications Flow Cyt, ICC/IF, IHC-P, IP, WB
Species Reactivity Human, Mouse, Rat
Isotype IgG