JavaScript is disabled in your browser. Please enable JavaScript to view this website.

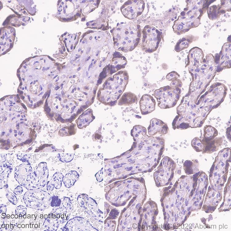
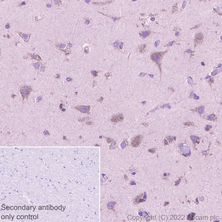
Anti-SPTLC1 antibody [EPR26226-136](ab307552)

$undefined

Anti-SPTLC1 antibody [EPR26226-136](ab307552)

Anti-SPTLC1 antibody [EPR26226-136](ab307552)

Anti-SPTLC1 antibody [EPR26226-136](ab307552)

Anti-SPTLC1 antibody [EPR26226-136](ab307552)

Anti-SPTLC1 antibody [EPR26226-136](ab307552)

Anti-SPTLC1 antibody [EPR26226-136](ab307552)

Anti-SPTLC1 antibody [EPR26226-136](ab307552)

Anti-SPTLC1 antibody [EPR26226-136](ab307552)

Anti-SPTLC1 antibody [EPR26226-136](ab307552)

Rabbit Recombinant Monoclonal SPTLC1 antibody. Suitable for IP, Flow Cyt (Intra), IHC-P, WB and reacts with Human samples.
Specifications
Shipped At Conditions Blue Ice
Appropriate Long term Storage Conditions Store at -20°C.
Clonality Monoclonal
Applications Flow Cyt (Intra), ICC/IF, IHC-Fr, IHC-P, IP, WB
Species Reactivity Human, Mouse, Rat
Isotype IgG