JavaScript is disabled in your browser. Please enable JavaScript to view this website.

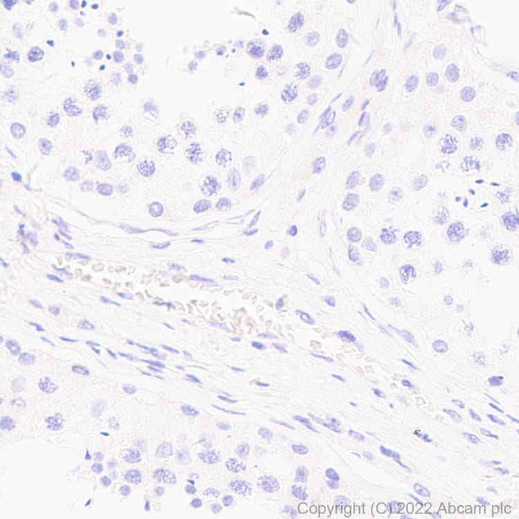
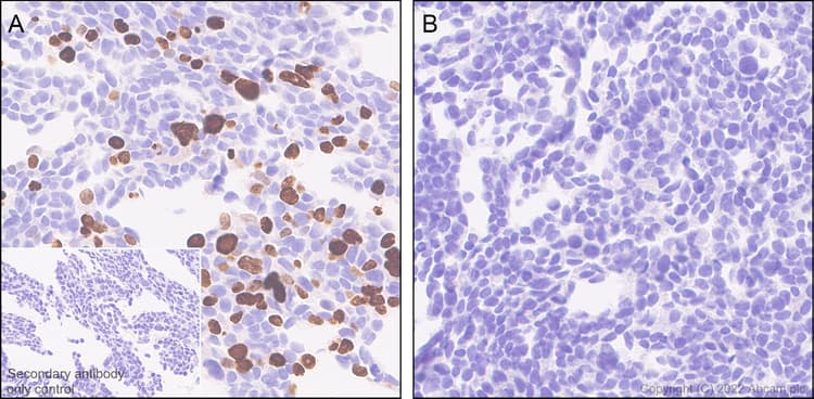
Anti-Dnmt3a (mutated R882H) antibody [EPR27389-11](ab307540)

$undefined

Anti-Dnmt3a (mutated R882H) antibody [EPR27389-11](ab307540)

Anti-Dnmt3a (mutated R882H) antibody [EPR27389-11](ab307540)

Anti-Dnmt3a (mutated R882H) antibody [EPR27389-11](ab307540)

Anti-Dnmt3a (mutated R882H) antibody [EPR27389-11](ab307540)

Rabbit Recombinant Monoclonal Dnmt3a mutated R882H antibody. Suitable for Flow Cyt (Intra), ICC/IF, IHC-P and reacts with Human samples.
Specifications
Shipped At Conditions Blue Ice
Appropriate Long term Storage Conditions Store at -20°C.
Clonality Monoclonal
Applications ChIP, Flow Cyt (Intra), ICC/IF, IHC-P, IP, WB
Species Reactivity Human, Mouse, Rat
Isotype IgG