JavaScript is disabled in your browser. Please enable JavaScript to view this website.

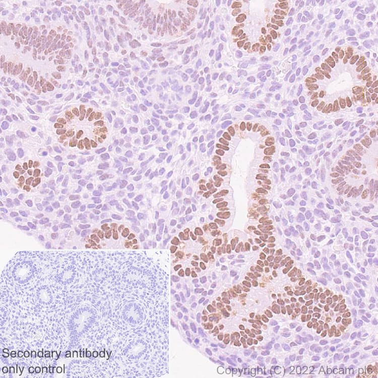
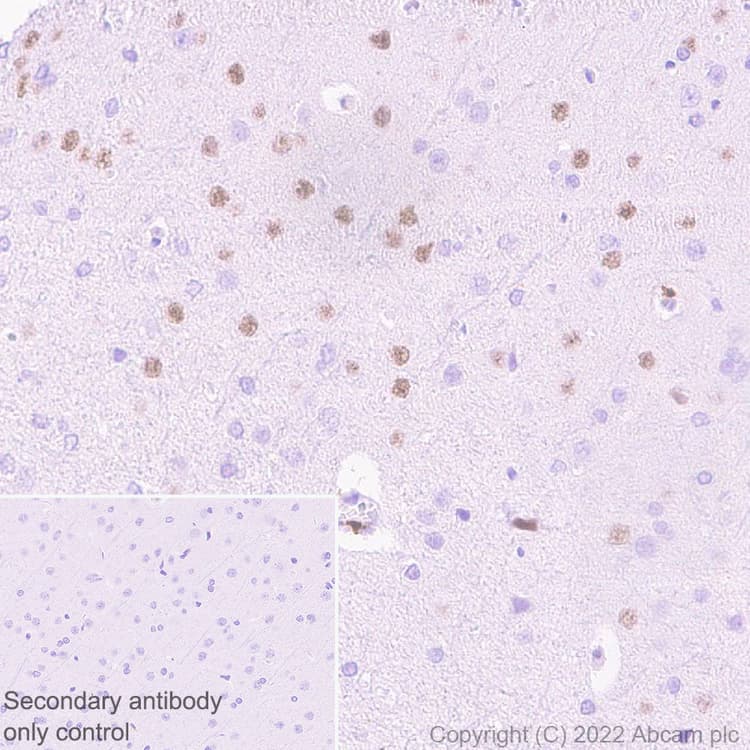
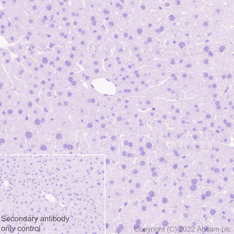
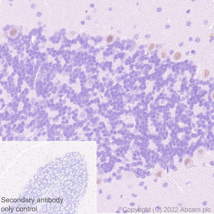
Anti-FOXP2 antibody [EPR27323-26](ab307505)

$undefined

Anti-FOXP2 antibody [EPR27323-26](ab307505)

Anti-FOXP2 antibody [EPR27323-26](ab307505)

Anti-FOXP2 antibody [EPR27323-26](ab307505)

Anti-FOXP2 antibody [EPR27323-26](ab307505)

Anti-FOXP2 antibody [EPR27323-26](ab307505)

Anti-FOXP2 antibody [EPR27323-26](ab307505)

Anti-FOXP2 antibody [EPR27323-26](ab307505)

Anti-FOXP2 antibody [EPR27323-26](ab307505)

Anti-FOXP2 antibody [EPR27323-26](ab307505)

Anti-FOXP2 antibody [EPR27323-26](ab307505)

Anti-FOXP2 antibody [EPR27323-26](ab307505)

Rabbit Recombinant Monoclonal FOXP2 antibody. Suitable for Dot, IHC-Fr, IHC-P and reacts with Synthetic peptide - Mouse, Mouse, Rat samples.
Specifications
Shipped At Conditions Blue Ice
Appropriate Long term Storage Conditions Store at -20°C.
Clonality Monoclonal
Applications Dot, Flow Cyt, ICC/IF, IHC-Fr, IHC-P, IP, WB
Species Reactivity Human, Mouse, Rat
Isotype IgG