JavaScript is disabled in your browser. Please enable JavaScript to view this website.

Anti-Dnmt3a antibody [EPR26805-273](ab307503)

$undefined

Anti-Dnmt3a antibody [EPR26805-273](ab307503)

Anti-Dnmt3a antibody [EPR26805-273](ab307503)

Anti-Dnmt3a antibody [EPR26805-273](ab307503)

Anti-Dnmt3a antibody [EPR26805-273](ab307503)

Anti-Dnmt3a antibody [EPR26805-273](ab307503)

Anti-Dnmt3a antibody [EPR26805-273](ab307503)

Anti-Dnmt3a antibody [EPR26805-273](ab307503)

Anti-Dnmt3a antibody [EPR26805-273](ab307503)

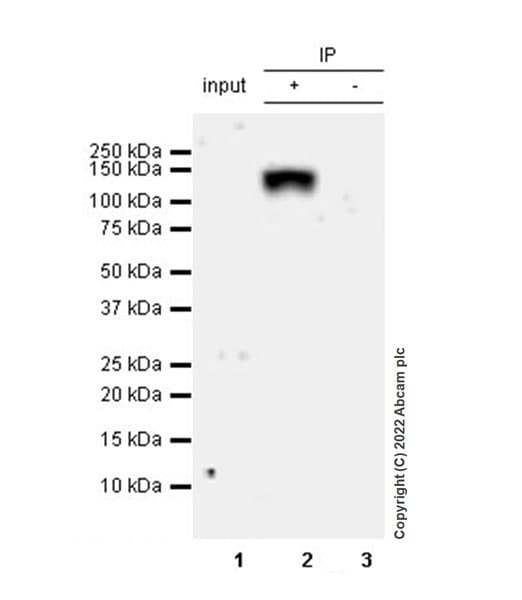
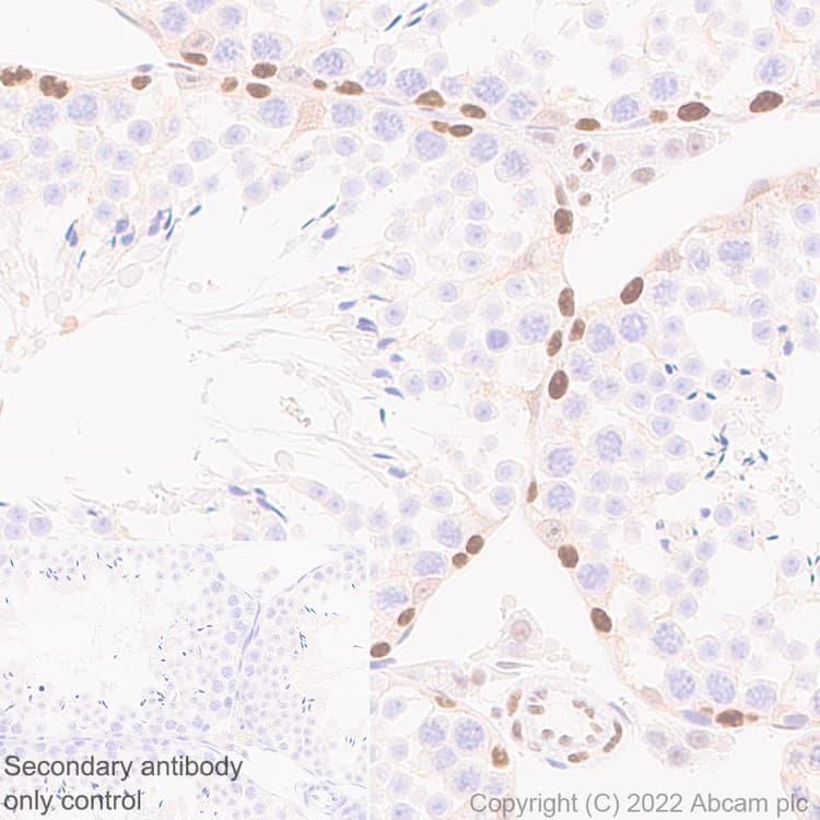
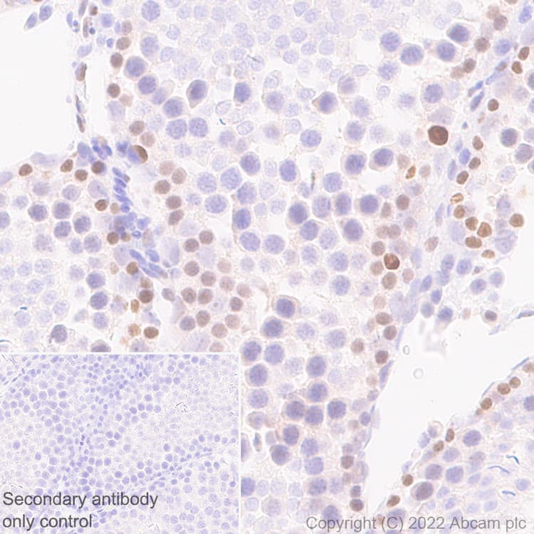
Rabbit Recombinant Monoclonal Dnmt3a antibody. Suitable for IP, Flow Cyt (Intra), ICC/IF, IHC-P, WB and reacts with Human, Mouse, Rat samples.
Specifications
Shipped At Conditions Blue Ice
Appropriate Long term Storage Conditions Store at -20°C.
Clonality Monoclonal
Applications ChIP, Flow Cyt (Intra), ICC/IF, IHC-P, IP, WB
Species Reactivity Human, Mouse, Rat
Isotype IgG