JavaScript is disabled in your browser. Please enable JavaScript to view this website.

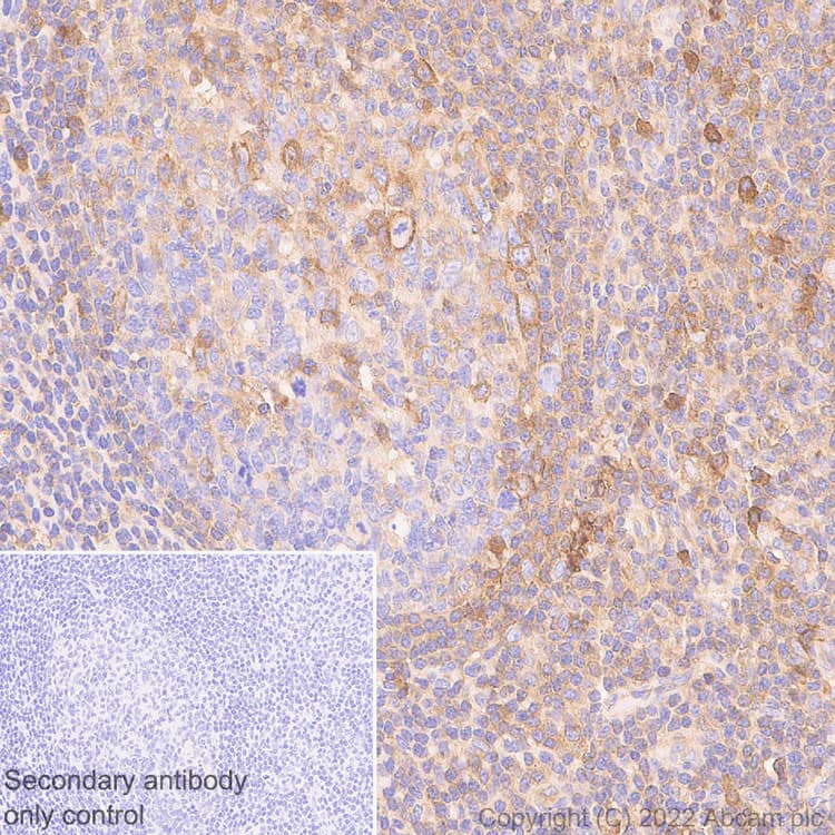
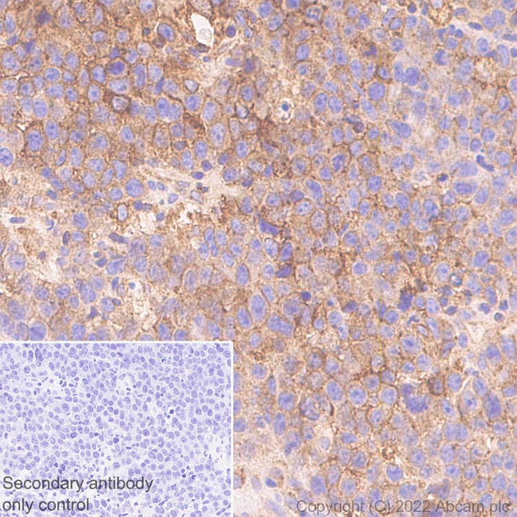
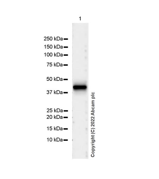
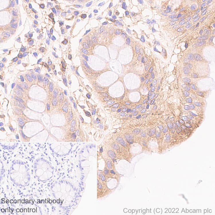
Anti-HLA-C antibody [EPR26121-73](AB307361)

$undefined

Anti-HLA-C antibody [EPR26121-73](AB307361)

Anti-HLA-C antibody [EPR26121-73](AB307361)

Anti-HLA-C antibody [EPR26121-73](AB307361)

Anti-HLA-C antibody [EPR26121-73](AB307361)

Anti-HLA-C antibody [EPR26121-73](AB307361)

Anti-HLA-C antibody [EPR26121-73](AB307361)

Anti-HLA-C antibody [EPR26121-73](AB307361)

Anti-HLA-C antibody [EPR26121-73](AB307361)

Rabbit Recombinant Monoclonal HLAC antibody. Suitable for IP, IHC-P, WB and reacts with Human, Transfected cell lysate - Human samples.
Specifications
Shipped At Conditions Blue Ice
Appropriate Long term Storage Conditions Store at -20°C.
Clonality Monoclonal
Applications Flow Cyt, ICC/IF, IHC-P, IP, WB
Species Reactivity Human, Mouse, Rat
Isotype IgG