JavaScript is disabled in your browser. Please enable JavaScript to view this website.

Anti-TNF alpha antibody [RM1005](AB307164)

$undefined

Anti-TNF alpha antibody [RM1005](AB307164)

Anti-TNF alpha antibody [RM1005](AB307164)

Anti-TNF alpha antibody [RM1005](AB307164)

Anti-TNF alpha antibody [RM1005](AB307164)

Anti-TNF alpha antibody [RM1005](AB307164)

Anti-TNF alpha antibody [RM1005](AB307164)

Anti-TNF alpha antibody [RM1005](AB307164)

Anti-TNF alpha antibody [RM1005](AB307164)

Anti-TNF alpha antibody [RM1005](AB307164)

Anti-TNF alpha antibody [RM1005](AB307164)

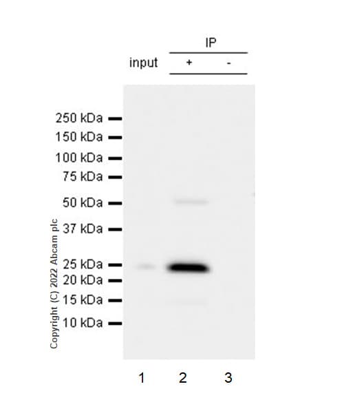
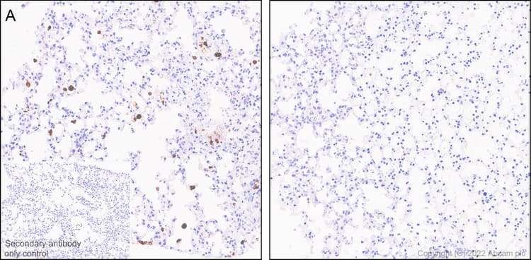
Rabbit Recombinant Multiclonal TNF alpha antibody. Suitable for ELISA, IP, Flow Cyt (Intra), ICC/IF, IHC-P, WB and reacts with Rat, Mouse, Human samples. Cited in 6 publications.
Specifications
Shipped At Conditions Blue Ice
Appropriate Long term Storage Conditions Store at -20°C.
Clonality Multiclonal
Applications Human, Mouse, Rat
Species Reactivity ELISA, Flow Cyt (Intra), ICC/IF, IHC-P, IP, WB
Isotype IgG
Conjugation -
CAS Number -