JavaScript is disabled in your browser. Please enable JavaScript to view this website.

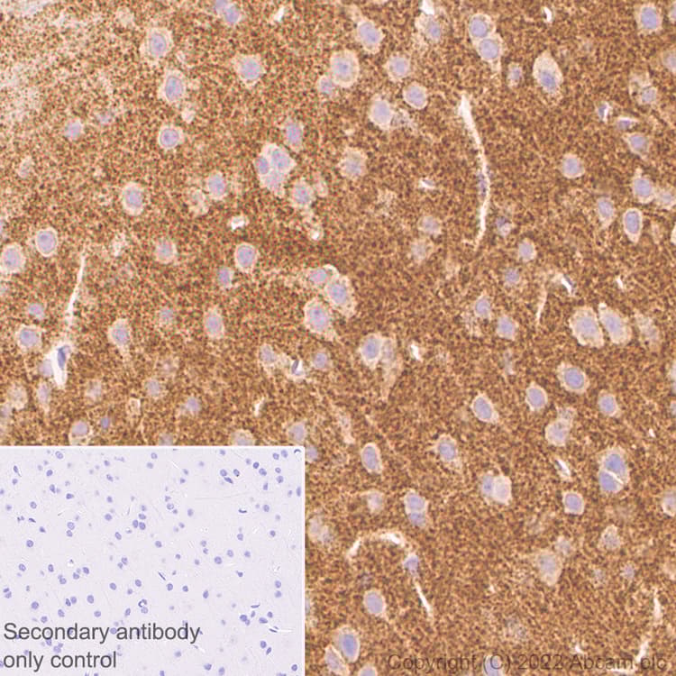
Anti-Bassoon/BSN antibody [L124-59](AB306593)

$undefined

Anti-Bassoon/BSN antibody [L124-59](AB306593)

Anti-Bassoon/BSN antibody [L124-59](AB306593)

Anti-Bassoon/BSN antibody [L124-59](AB306593)

Anti-Bassoon/BSN antibody [L124-59](AB306593)

Anti-Bassoon/BSN antibody [L124-59](AB306593)

Anti-Bassoon/BSN antibody [L124-59](AB306593)

Anti-Bassoon/BSN antibody [L124-59](AB306593)

Anti-Bassoon/BSN antibody [L124-59](AB306593)

Mouse Monoclonal Bassoon/BSN antibody. Suitable for IHC-P, IHC-Fr, ICC/IF and reacts with Mouse, Rat samples. Cited in 1 publication.
Specifications
Shipped At Conditions Blue Ice
Appropriate Long term Storage Conditions Store at -20°C.
Clonality Monoclonal
Applications ICC/IF, IHC-Fr, IHC-P, WB
Species Reactivity Human, Mouse, Rat
Isotype IgG2b