JavaScript is disabled in your browser. Please enable JavaScript to view this website.

Anti-c-Jun (phospho S73) antibody(ab30620)

$undefined

Anti-c-Jun (phospho S73) antibody(ab30620)

Anti-c-Jun (phospho S73) antibody(ab30620)

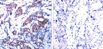
Rabbit Polyclonal c-Jun phospho S73 antibody. Suitable for WB, IHC-P and reacts with Human samples. Cited in 18 publications. Immunogen corresponding to Synthetic Peptide within Human JUN phospho S73.
Specifications
Shipped At Conditions Blue Ice
Appropriate Long term Storage Conditions Store at -20°C.
Clonality Polyclonal
Applications IHC-P, WB
Species Reactivity Human
Isotype IgG