JavaScript is disabled in your browser. Please enable JavaScript to view this website.

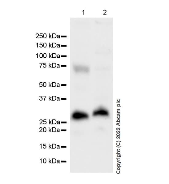
Anti-SIAH1 antibody [EPR27101-45] - BSA and Azide free(AB305250)

$undefined

Siah1 Antibody Epr27101 45 Bsa And Azide Free Ab305250  Western Blot Img405198

Siah1 Antibody Epr27101 45 Bsa And Azide Free Ab305250  Western Blot Img405199

Rabbit Recombinant Monoclonal SIAH1 antibody. Carrier free. Suitable for WB and reacts with Human samples.
Specifications
Shipped At Conditions Blue Ice
Appropriate Long term Storage Conditions Store at +4°C.
Clonality Monoclonal
Applications Flow Cyt (Intra), ICC/IF, IHC-P, IP, WB
Species Reactivity Human, Mouse, Rat
Isotype IgG