JavaScript is disabled in your browser. Please enable JavaScript to view this website.

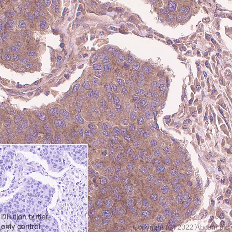
HRP Anti-Tissue Plasminogen Activator antibody [EPR7232(2)](ab305217)

$undefined

HRP Anti-Tissue Plasminogen Activator antibody [EPR7232(2)](ab305217)

HRP Anti-Tissue Plasminogen Activator antibody [EPR7232(2)](ab305217)

HRP Anti-Tissue Plasminogen Activator antibody [EPR7232(2)](ab305217)

Rabbit Recombinant Monoclonal Tissue Plasminogen Activator antibody - conjugated to HRP. Suitable for IHC-P and reacts with Human, Mouse, Rat samples.
Specifications
Shipped At Conditions Blue Ice
Appropriate Long term Storage Conditions Store at -20°C.
Clonality Monoclonal
Applications IHC-P
Species Reactivity Human, Mouse, Rat
Isotype IgG
Conjugation HRP