JavaScript is disabled in your browser. Please enable JavaScript to view this website.

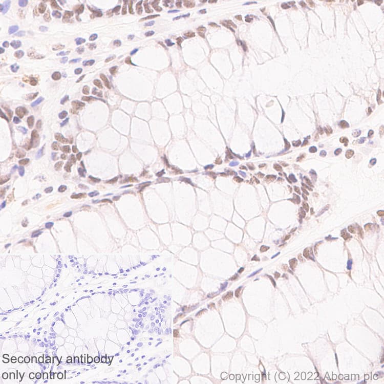
Anti-ARID1A antibody [EPR25407-17] - BSA and Azide free(ab305173)

$undefined

Anti-ARID1A antibody [EPR25407-17] - BSA and Azide free(ab305173)

Anti-ARID1A antibody [EPR25407-17] - BSA and Azide free(ab305173)

Anti-ARID1A antibody [EPR25407-17] - BSA and Azide free(ab305173)

Anti-ARID1A antibody [EPR25407-17] - BSA and Azide free(ab305173)

Anti-ARID1A antibody [EPR25407-17] - BSA and Azide free(ab305173)

Rabbit Recombinant Monoclonal ARID1A antibody. Carrier free. Suitable for WB, IHC-P, IP and reacts with Human, Rat, Mouse samples.
Specifications
Shipped At Conditions Blue Ice
Appropriate Long term Storage Conditions Store at +4°C.
Clonality Monoclonal
Applications ChIP, Flow Cyt (Intra), ICC/IF, IHC-P, IP, WB
Species Reactivity Human, Mouse, Rat
Isotype IgG